Conference 16, Case 4:
Signalment:
6-week-old, female, New Zealand white rabbits (Oryctolagus cuniculus)
History:
A total of 15 rabbits arrived from the vendor and appeared in good health. Six days post-arrival, animal A was found dead in the cage, and B was found moribund. Animal B died before treatments could be commenced.
Gross Pathology:
The only obvious gross lesions in both animals were severely edematous large intestine which contained scant liquid feces..
Laboratory Results:
Feces submitted to IDEXX yielded positive results for Clostridium difficile toxins A&B via ELISA.
Microscopic Description:
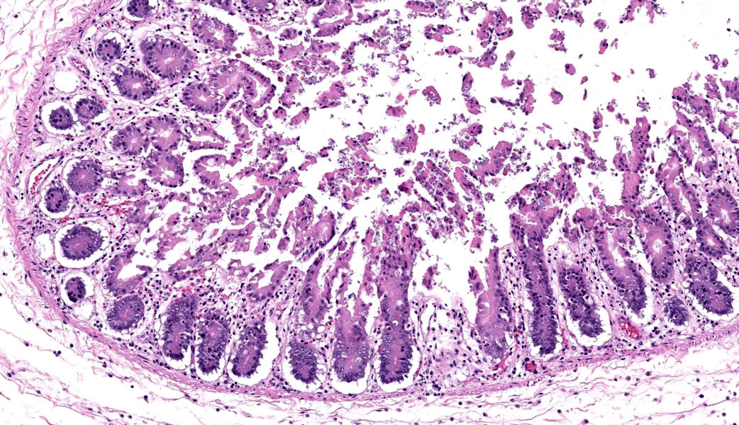
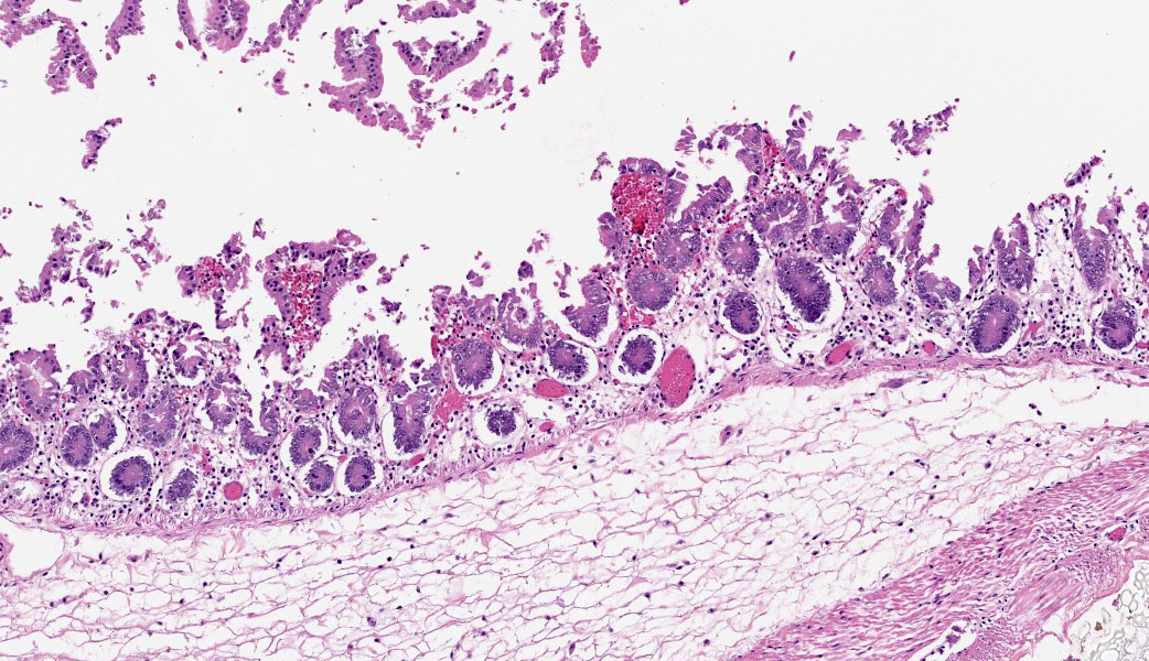
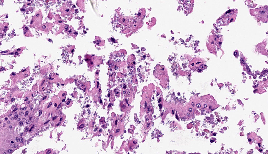
Cecum at ileocecocolic junction: One full-thickness cross sections of cecum at the ileocecocolic junction are examined from each animal (2 total). Diffusely, the submucosa is expanded by clear space (edema) and admixed inflammatory cells (neutrophils, macrophages, lymphocytes, and fewer plasma cells). The lamina propria is multifocally expanded by edema, hemorrhage, the previously mentioned admixed inflammatory cells, and karyorrhectic debris. The overlying epithelium has multifocal erosions and ulcerations with surface necrotic debris and mixed bacterial colonies.
Contributor’s Morphologic Diagnoses:
Typhlocolitis, acute, ulcerative, with edema and hemorrhage.
Contributor’s Comment:
Clostridioides difficile (renamed from Clostridium difficile in 2016) is a toxin-producing, gram-positive, spore-forming anaerobe that affects humans and a variety of animal species.4,9 When it was first identified from the feces of clinically normal babies in the 1930’s it was named “the difficult clostridium” due to the fact that it was difficult to isolate and slow to grow in culture.4,8 Sometimes called “pseudomembranous colitis”, this entity causes classic histopathology lesion in humans and non-human primates including pseudomembrane formation on the intestinal surface.2,8,13 In humans and animals, the pathogenesis involves disruption of commensal bacteria flora, colonization by C. difficile, and the release of toxins that cause significant mucosal damage.4,8,13
Rabbits are subject to a number of different clostridial diseases including enterotoxemia (C. difficile, D. perfringens, C. spiroforme), Tyzzer’s disease (C. piliforme), dysautonomia (C. botulinum), and epizootic rabbit enteropathy (C. perfringens alpha toxin). Clostridial enterotoxemia has similar features in rabbits regardless of the species.12 Chronicity can be acute or peracute.6 In these cases, a peracute infection is likely since diarrhea, dehydration, or weight loss were not noted prior to death.
The primary virulence factors of C. difficile are two major exotoxins, toxin A and toxin B.1-14 Both are enterotoxins, while Toxin B is both an endotoxin and cytotoxin. These toxins have the ability to glycosylate and inactivate Ras GTPases, disabling key cell signaling pathways, and glycosylate Rho and interfere with its regulation of cytoskeletal actin leading to apoptotic cell death of colonic epithelium.1,13 Fecal ELISA is commonly used to identify these toxins and was used as a confirmation method in these rabbits to confirm the presence of Clostridium difficile A and B toxins in these rabbits. Fecal culture is the most sensitive method, but it is not very specific due to the possibility of isolating non-toxigenic isolates.6 PCR detection of C. difficile is also highly sensitive and can discriminate between toxigenic and nontoxigenic strains of the organism by detecting its toxin-producing genes.6
As in humans, C difficile enterotoxemia in rabbits is associated with anything that disrupts the normal intestinal flora including antibiotic treatment.1-14 These animals had not been treated with antibiotics, and it is suspected that stress from shipping was the primary factor leading to clostridial disease in this case.
Although antibiotic treatment with metronidazole is considered the first choice of treatment in both humans and companion animals, treatment of C. difficile-associated disease has increasingly been associated with failure and recurrence.3,11,14 In humans and marmosets, fecal transplantation shows promising results as a treatment for recurrent CDAD.11,14 Additionally, a 2024 paper shows promising results in the development of a C. difficile vaccine that uses metal-catalyzed oxidation (MCO) to inactivate toxins A & B after 2-3 intramuscular injections in rabbits.1
Contributing Institution:
Division of Laboratory Animal Resources
University of Pittsburgh
S1040 Thomas E. Starzl Biomedical Science Tower
200 Lothrop Street
Pittsburgh, PA 15261
http://www.dlar.pitt.edu/
JPC Diagnoses:
Colon: Colitis, necrotizing, subacute, multifocal, moderate, with volcano lesions, hemorrhage, and severe submucosal edema.
JPC Comment:
Wrapping up this conference is a classic example of another C. difficile infection, this time in a rabbit. Rabbits, along with hamsters and mice, are utilized in laboratory medicine in C. difficile studies. Rabbits specifically have been utilized because their gut tends to be colonized by heterogeneous C. difficile ribotypes, many of which are commonly isolated in humans.6 As mentioned by the contributor, despite the lack of aggressive antibiotic therapy in the history, this animal had been recently transported and participants agreed that the stress of travel could have served as the predisposing factor for C. difficile overgrowth.
Similar to Case 1, due to the presence of volcano lesions coupled with mucosal ulceration/necrosis and heterophilic inflammation, Dr. Uzal says this is C. difficile until proven otherwise! This case had some solid examples of volcano lesions in which heterophils could be seen exploding out of tiny ulcers in the mucosa.
Histologically, the colon was severely edematous and had gram-positive bacilli present within areas of mucosal necrosis that showed up beautifully on a Gram stain performed by Dr. Uzal’s lab. A secondary bacterial infection was considered by conference participants in the markedly dilated sections of gut in this case, especially since rabbits frequently have multispecies enteric infections similar to cattle (i.e. coronavirus, rotavirus, C. difficile, E. coli, etc.), but there was no laboratory testing available to confirm this. C. difficile, however, was confirmed by the contributor via ELISA for A/B toxin.
References:
- Aminzadeh A, et al. Immunogenicity and safety in rabbits of a Clostridioides difficile vaccine combining novel toxoids and a novel adjuvant. Vaccine. 2024;42(7):1582-1592.
- Armstrong AR, Wünschmann A, Rigatti LH, Klein EC. Clostridium difficile enterocolitis in a captive Geoffroy’s spider monkey (Ateles geoffroyi) and common marmosets (Callithrix jacchus). Veterinary Pathology. 2019;56(6):959-963.
- Aslam S, Hamill RJ, Musher DM. Treatment of Clostridium difficile-associated disease: old therapies and new strategies. Lancet Infect Dis. 2005;5(9):549-57.
- Czaepiel J, et al. Clostridium difficile infection: a review. Europ J Clin Microbiol Inf Dis. 2019;38:1211-1221.
- Delmée M. Laboratory diagnosis of Clostridium difficileClin Microbiol Infect. 2001;7(8):411-6.
- Drigo I, Mazzolini E, Bacchin C, et al. Molecular characterization and antimicrobial susceptibility of Clostridium difficile isolated from rabbits raised for meat production. Vet Microbiol. 2015;181(3-4):303-307.
- Keel MK, Songer JG. The comparative pathology of Clostridium difficile-associated disease. Vet Pathol. 2006;43(3):225-40.



