Signalment: Free-ranging, male, pink river dolphin (Inia geoffrensis).
History: This animal was captured in the course of a radio-tagging field study conducted in Lago Mamiraua, Brazil.
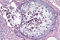
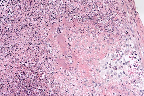
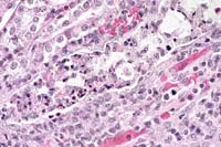
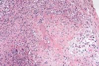
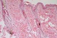
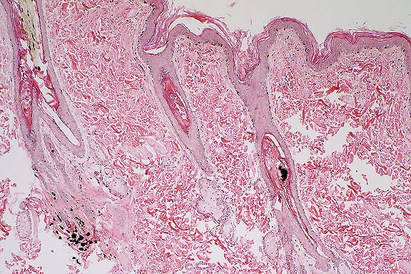
Gross Pathology: A heavily vascularized, multinodular, pedunculated mass was attached to the right eye. It was firmly adhered to, and appeared to arise from, the conjunctiva of the dorsal palpebrum as well as the medial and lateral canthus.
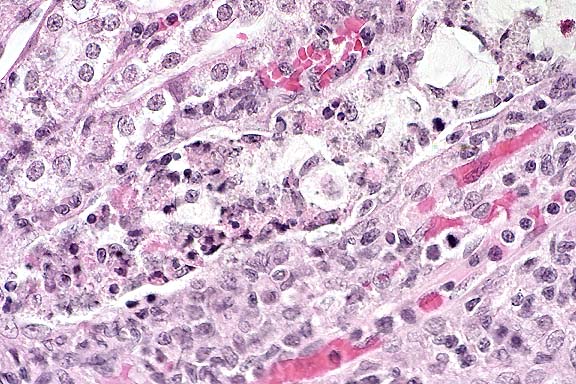
Contributor's Diagnosis and Comments: Conjunctiva: Conjunctivitis,
proliferative, chronic-active to granulomatous, diffuse, marked,
with mucosal hyperplasia and intralesional fungal elements compatible
with Rhinosporidium seeberi.
The polyploid conjunctival lesions seen in this dolphin are "classic"
examples of an infection with Rhinosporidium seeberi. Although
a number of different blocks were used for glass slide recuts,
all slides demonstrate the developmental stages of R. seeberi.
These are readily identified by specific histologic features.
These are:
Little is known about the epidemiology of this organism. Although generally considered to be a fungus, its taxonomy is still uncertain and it has yet to be cultivated on synthetic media. R. seeberi typically induces the formation of chronic inflammatory nasal polyps. Conjunctival lesions have been reported, but these are far less common than respiratory lesions.

Conference Note: Based only on the morphology of the infecting organism, the differential diagnosis might include coccidioidomycosis and adiasporomycosis. However, the spherules of Coccidioides immitis are generally smaller than rhinosporidial sporangia, and they contain endospores that are generally the same size and shape throughout the spherule. Chrysosporium parvum, the etiologic agent of adiasporomycosis, is larger than Rhinosporodium, has a thicker wall, and does not reproduce by endosporulation.
Rhinosporidiosis occurs sporadically worldwide, but is hyperendemic in India, Sri Lanka, and Southeast Asia.1,2 Infection is associated epidemiologically with rural and aquatic environments. A recent study from India suggests that Rhinosporidium seeberi is a form of the cyanobacterium Microcystis aeruginosa, which was isolated from water samples in which human patients with rhinosporidiosis were bathing.8
Contributor: Wildlife Conservation Society, Department of Pathology, 185th St. and Southern Blvd., Bronx, NY 10460
International Veterinary Pathology Slide Bank:
Laser disc frame #6637, 6638, 6639, 8246, 4471, 14472, 14473
Signalment: 8-week-old, female, New Zealand White, rabbit.
History: Incidental finding in a rabbit infected with Campylobacter jejuni.
Gross Pathology: None.
Contributor's Diagnosis and Comments: Kidney: Nephritis,
interstitial, chronic, moderate, with gram positive intraepithelial
protozoal organisms - Etiology consistent with Encephalitozoon
cuniculi.
Encephalitozoon cuniculi is an occasional, usually asymptomatic, parasite of rabbits. The primary importance of the organism in rabbits is interference with the interpretation of experimental data. In other species (dogs, cats, and wild carnivores) the organism causes clinical, often fatal encephalitis and nephritis.
The organisms are most commonly found in the renal tubular epithelial cells and capillary endothelial cells within the central nervous system.
Conference Note: Transmission of Encephalitozoon cuniculi, a microsporidian, is primarily via ingestion of urine containing the infective spores. Transplacental infection has also been reported.3 In addition to the susceptible species listed above, infection occurs in rats, mice, guinea pigs, hamsters, and humans.3 At least three strains of E. cuniculi have been identified based on host specificity and other criteria.4
Encephalitozoon cuniculi infection of mice is used as a model of human microsporidiosis. Mouse strains differ greatly in their susceptibility to infection, with C57BL/6, DBA/1, and 129J being highly susceptible, and BABL/c, A/J, and SJL strains being relatively resistant.4 Athymic (nu/nu) mice experience high mortality with infection.
Contributor: Naval Medical Research Institute, Pathobiology Division, 8901 Wisconsin Avenue, Bethesda, MD 20889-5607
International Veterinary Pathology Slide Bank:
Laser disc frame #5278-5281, 19463.
Signalment: Adult, female, cottontail rabbit (Sylvilagus floridanus)
History: This animal was found alive but weak, depressed, thin, and easily captured.
Gross Pathology: The animal was emaciated, flea infested, and had several ticks. The peritoneal cavity contained approximately 10 ml of serous fluid. The spleen was 2x2x6 cm, and multiple disseminated pinpoint to 1 mm white foci were visible on the capsular and cut surfaces. The liver had similar foci. Mesenteric, hilar and mediastinal lymph nodes were enlarged, gray, and friable. Several tapeworm cysts were noted in the peritoneal cavity and attached to the liver and pleura.
Laboratory Results: Francisella tularensis was isolated.
Contributor's Diagnosis and Comments: Disseminated multifocal and coalescing necrotizing splenitis.
Conference Note: Gram stains demonstrated that the coccobacilli are gram-negative.
Tularemia (deer fly fever, rabbit fever) is a zoonotic disease with worldwide distribution, affecting more than 100 species of wild and domestic mammals, birds, fish, and reptiles. It is primarily a disease of wild rabbits and rodents and -shares many key features with endemic plague, with which it was originally confused in a 1911 outbreak in ground squirrels in Tulare County, California.
There are two antigenically similar strains of F. tularensis:
1. F. tularensis subsp. tularensis (Type A) occurs only in
North America, where it is the most frequently isolated strain
(70% of human cases). It is associated with tick borne tularemia
in rabbits, and produces the classic disease in humans.
2. F. tularensis subsp. palaearctica (Type B) occurs throughout
the world (except Australia and Antarctica), and is less virulent
than Type A. It is associated with mosquitoes and rodents, and
is frequently linked to waterborne disease of rodents, particularly
beavers and muskrats.
Transmission of the disease may occur by a variety of routes
including direct contact of the organism with intact or abraded
skin or mucous membranes, ingestion or inhalation of the organism,
or by percutaneous inoculation via arthropod vectors. As few as
10 bacilli may induce disease when inhaled or injected, whereas
a much larger dose is required for oral infection.
Ticks are reported most frequently as the source of human infection
in the United States, followed by rabbits. Two seasonal peaks
are associated with tularemia: one during tick season, the other
during the hunting season, associated with contact with infected
rabbits. Dermacentor variabilis (dog tick), D. andersoni (wood
tick), and Amblyomma americanum (lone star tick) are considered
the most important tick vectors in North America. Both transstadial
and transovarian passage of F. tularensis have been documented,
making the tick both a vector and a reservoir of infection. The
deerfly, Chrysops discalis, is also an important vector in North
America.
Clinical signs are those of an acute septicemia and vary with the route of infection, the strain of the organism, and the species involved. Rabbits and rodents are often found dead without premonitory signs. In cats, tularemia is associated with nonspecific clinical signs, including pyrexia, anorexia, lethargy, lymphadenopathy, oral ulcers, hepatomegaly, and icterus.2
Contributor: Mississippi State University, College of Veterinary Medicine, Mississippi State, MS 39762
International Veterinary Pathology Slide Bank:
Laser disc frame #3476, 3477, 5307, 5308, 11121-11124, 22253.
Signalment: 2-year-old, male, Doberman Pinscher, canine, named "Mr. Blue".
History: This dog had a history of chronic keratoconjunctivitis and generalized bilaterally symmetrical hair loss.
Gross Pathology: Bilaterally symmetrical hair loss.
Laboratory Results: Antinuclear antibody: 1:20
Baseline T4: 0.2 (normal 1.0-4.0)
Contributor's Diagnoses and Comments:
Haired skin: Diffuse superficial and follicular orthokeratotic
hyperkeratosis
Multifocal follicular atrophy with melanin clumping
Multifocal, perifollicular melanophage accumulation
Mild superficial perivascular hyperplastic dermatitis
Condition: Color mutant alopecia.
Conference Note: This hereditary syndrome is associated with a color-dilution gene, but it is not known if the gene is directly responsible for initiating the skin disease or if a linked gene codes for the associated follicular changes.2
Clinically, this disease is characterized by a gradual onset of a dry, dull, brittle, poor-quality hair coat. Hair shafts break, and regrowth is often poor. Follicular papules and comedones may develop, and chronic cases may exhibit hyperpigmentation.
The clinical differential diagnosis of color mutant alopecia should include other generalized atrophic or dysplastic diseases affecting the hair follicle including hypothyroidism, hyperadrenocorticism, canine follicular dysplasia, and acquired pattern alopecia.2
Contributor: Department of Pathology, Cornell University, Ithaca, NY 14853
International Veterinary Pathology Slide Bank:
Laser disc frame #11787, 11856, 11857, 13848-13851.
Terrell W. Blanchard
Major, VC, USA
Registry of Veterinary Pathology*
Department of Veterinary Pathology
Armed Forces Institute of Pathology
(202)782-2615; DSN: 662-2615
Internet: blanchard@email.afip.osd.mil
* The American Veterinary Medical Association and the American College of Veterinary Pathologists are co-sponsors of the Registry of Veterinary Pathology. The C.L. Davis Foundation also provides substantial support for the Registry.