Results
AFIP Wednesday Slide Conference - No. 24

8 April 1998
Conference Moderator:
LTC A. Peter Vogel, Diplomate, ACVP
Pathology Division
U.S. Army Medical Research Institute of Infectious Diseases
Ft. Detrick, Frederick, MD 21702-5011

Return to WSC Case Menu.

Case I - 970085 10 (AFIP 2605145); 2 photos

Signalment: Adult, female, Syrian hamster (Mesocricetus auratus).

History: This animal was involved in a pathogenesis study of Burkholderia (formerly Pseudomonas) mallei (glanders). Six days post-intraperitoneal injection with a lethal dose of organisms, the animal was found moribund and was euthanized with CO2.

Gross Pathology: Among hamsters examined in this study, the most striking pathologic change at necropsy was splenomegaly with variably-sized, white/cream- colored foci of necrosis and inflammatory cell infiltrate. In the late stages of the disease (days 5 and 6), discrete white foci (inflammatory cell infiltrates) were present in the lungs as well. Extensive adhesions of abdominal viscera were related to intraperitoneal injection. The nasal and oropharyngeal cavities were not studied at necropsy because the skull was fixed intact for decalcification and sectioning.

Contributor's Diagnoses and Comments: 1. Nasal cavity: Rhinitis, myelitis, periostitis, myositis, fasciitis, pyogranulomatous, necrotizing, multifocal and coalescing, marked. 2. Oropharyngeal cavity: Periodontitis, pyogranulomatous, necrotizing, multifocal, marked; pulpitis, pyogranulomatous, necrotizing, focal, mild to moderate.
Etiology: Burkholderia mallei.

Glanders is a serious infection of equine animals (and occasionally others such as goats, sheep, cats and dogs) caused by Burkholderia (formerly Pseudomonas) mallei. A number of instances of airborne infection have been reported in laboratory workers. Glanders was at one time widespread throughout Europe, but its incidence has steadily decreased in most countries following introduction of control measures. The disease still occurs in Asia, Africa, and South America, but not in Western Europe or North America. There have been no naturally acquired infections in the U.S. or Canada since 1938.

Burkholderia mallei is a gram-negative aerobic bacillus. It is closely related to B. pseudomallei, the agent of melioidosis. Unlike B. pseudomallei, however, B. mallei is non-motile and is an obligate animal parasite. The route of infection, the dose and virulence of inoculated organisms are the determining factors in the severity of the disease, which consists of two basic manifestations: the nasal-pulmonary form (glanders) and the cutaneous form (farcy), which may be present simultaneously and are usually accompanied by systemic disease. Clinical disease may be acute or chronic, or the disease may be subclinical and even latent. The chronic form is more typically seen in horses and most likely results from an oral route of infection. In the mule and donkey, however, acute disease is the usual form; the route of infection here is probably by nasal and/or tracheal inoculation. Interestingly, there is currently no evidence for immunity by virtue of previous infection or vaccination. In horses with clinically resolved glanders, the disease recrudesced when animals were re-challenged with B. mallei. Antibiotic therapy is unreliable.

The typical early histologic lesion of glanders in the susceptible host (i.e. hamster, guinea pig) is pyogranulomatous inflammation, later organizing into discrete pyogranulomas with a necrotic center and persistent, leukocytic, karyorrhectic debris. Distribution of pyogranulomas is miliary throughout lungs and other tissues. Because of their uniform susceptibility to infection, the Syrian hamster (Mesocricetus auratus) has become the traditional animal model in glanders studies. In the more resistant host (i.e. mice; also horses), the inflammatory process tends to become well walled-off, have central mineralization, and in some cases, abundant peripheral multinucleated giant cells. We have not found giant cells in any hamster lesions, regardless of glanders strain given. We have not seen giant cells in any of the few mice examined to date, even those which had survived infection for 45 days. Clearly, in natural infections of many animal species, giant cells are present.

Persistence of pyknotic/karyorrhectic debris centrally within pyogranulomas is said to be a feature of glanders infection and a distinguishing feature between glanders and miliary tuberculosis. The histologic distinction between the two was more important early in this century. In the older literature, this feature is termed "chromatotexis" and "chromatotaxis". It is, however, characteristic of but not pathognomic for glanders and was always present in hamster lesions.

The submitted 2x2 slide of a transmission electron (TEM) micrograph was taken at an original magnification of 6,600X of a pulmonary pyogranuloma in a hamster killed on day 6 post-inoculation. Within an alveolus (no septal structures visible) there are necrotic cells (presumably leukocytes) with fragments of (karyorrhexis) pyknotic nuclei, cell debris, and fibrin. Four glanders bacilli are present and all appear to be intracellular and surrounded by a lucent halo of uniform thickness. We believe that the halo was occupied by the organism's capsule, lost during routine TEM processing. Some references state that B. mallei is not encapsulated, but several recent Russian papers show evidence of a capsule in some phases of infection. Also note that within these organisms are round lucent foci with a central dense granule. We believe these may be b-hydroxybutyrate granules which have been described in these bacilli.

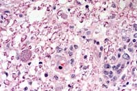
By light microscopy, this organism is said to stain very poorly with most stains. The glanders bacillus is difficult to distinguish by hematoxylin and eosin staining unless it is present in significant numbers, which it almost never is. Likewise, differential stains, such as Lillie-Twort, were not helpful. Even light microscopy (LM)-level immunostaining was of limited value: abundant bacterial antigen but few bacilli. TEM study of multiple tissues revealed that the best site to find/study bacilli was on the periphery of pulmonary pyogranulomas; organisms in other tissues were exceedingly difficult to find. By LM, we had the most success with the Giemsa stain; this stains the bacilli (and unfortunately most other structures) very strongly. Illustrating this problem is the submitted 2x2 light micrograph (60X) of the periphery of a pulmonary pyogranuloma at day 6. Several free bacilli are visible; there are also a number of intracellular (leukocytes) bacilli which are resolvable only with difficulty.

Lesions of the hamster oral and nasal cavities, as seen in the submitted microslides, were present in most hamsters from post-inoculation day 3 onward. Review of the glanders literature suggests the organism has a predilection for becoming localized in oral and especially nasal tissues during infection of many species, most notably equines.
 
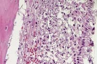
Case 24-1. Nasal cavity. A layer of necrotic inflammatory debris and focal hemorrhage is expanding the lamina propria, over the bone (left). 40x
AFIP Diagnoses: 1. Nasal cavity: Rhinitis, osteomyelitis, periodontitis, pulpitis, myositis, cellulitis, and vasculitis, necrotizing, neutrophilic and histiocytic, multifocal, moderate, with thrombosis, Syrian hamster (Mesocricetus auratus), rodent. 2. Vomeronasal organ: Degeneration and necrosis, multifocal, moderate.

Conference Note: In most sections viewed in conference, the nasolacrimal duct was partially or completely occluded by mucinous material with few inflammatory cells and sloughed epithelium. Degeneration of neurons in the vomeronasal organ is believed to be secondary to inflammation and necrosis of the more rostral portion of the nerve cell processes.

Transmission of glanders in horses requires close contact. The introduction of the automobile, which led to a marked decrease in the population density of horses stabled in metropolitan areas, is believed to be an important factor in the overall decreased incidence of glanders in the twentieth century. Horses serve as the reservoir host of B. mallei, and man and carnivores are accidental hosts.4 In human glanders, the mortality rate approaches 90%.3

Contributor: Pathology Division, US Army Medical Research Institute of Infectious Diseases, Ft. Detrick, MD 21702-5011
 
References
1. M'Fadyean J: Glanders. Journal of Comparative Pathology 17:295-317, 1904.
2. Duval CW, White PG: The histological lesions of experimental glanders. Journal of Experimental Medicine 9:352-380, 1907.
3. Howe C: Glanders. In: The Oxford Medicine, Christian HA (ed.), Vol. 5, Oxford University Press, New York, pp. 185-201, 1949.
4. Acha PN, Szyfres B: Glanders. In: Zoonoses and Communicable Diseases Common to Man and Animals, 2nd edition, Pan American Health Organization, pp. 86-89, 1987.

International Veterinary Pathology Slide Bank:
Laser disc frame #4540-4542, 18886-18889

 

Case II - 94-1259 (AFIP 2504260)

Signalment: 2.5-month-old, female, Arabian horse.

History: Four week history of respiratory disease, non-responsive to a variety of antibiotics. Nasal discharge, uveitis OU, crackles and wheezes over entire chest, fetlocks distended. Disoriented and anorexic.

Gross Pathology: Lungs diffusely firm with multiple nodules ranging from 0.5 cm to 5 cm in diameter scattered throughout all lung lobes. Nodules encapsulated by firm white connective tissue and contain green/yellow purulent to caseous material (abscess). Thymus small to imaginary; small lymph nodes. Pharyngeal and esophageal Candida sp., bilateral hyphema, unilateral hypopyon.

Laboratory Results: Lymphopenia - 0 lymphocytes; mature neutrophilia - 25,200/ml; IgM undetectable; IgG - 235 mg/dl (decreased); fibrinogen - 1000 mg/dl; lung - heavy growth of Rhodococcus equi.

Contributor's Diagnoses and Comments:
1. Bronchopneumonia, multifocal, severe, pyogranulomatous (Rhodococcus equi).
2. Adenovirus infection with intranuclear inclusions, lung, pancreas.
3. Pancreatic fibrosis, duct necrosis and acinar atrophy, severe, diffuse. Splenic, lymphoid and thymic hypoplasia, severe, diffuse.
4. Severe combined immunodeficiency.

The lesions, signalment and clinical pathology results (absence of lymphocytes on CBC and undetectable IgM levels) are diagnostic for severe combined immunodeficiency (CID). Granulomas/abscesses ranging from 0.5 to 5 cm in diameter were scattered throughout all lung lobes.

Tissue from the cranial mediastinum was examined histologically, and identified as thymus by the presence of Hassall's corpuscles and epithelial cells. Lymphoid tissue was markedly reduced throughout lymph nodes and spleen with no recognizable follicles. Plaques of Candida sp. in yeast and hyphal forms infiltrated by large numbers of neutrophils are present on laryngeal and esophageal mucosa.

The granulomatous component in the lung was predominantly present in one of the two slides submitted; lesions in the other slide are predominantly necrosis, fibrin exudation, and neutrophils.
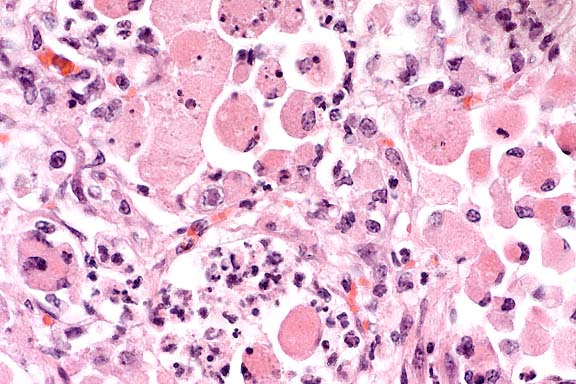
Case 24-2a. Lung. Condensed basophilic nuclear inclusion (adenovirus) in a necrotic alveolar epithelial cell. This alveolus and others have sloughing necrotic, hypereosinophilic pneumcytes with a moderate influx of neutrophils and fibrin.
 
Case 24-2b. Pancreas. Sloughing pancreatic duct epithelial cells with condensed basophilic nuclear inclusions with intralumenal debris and neutrophils (left). . A few residual cells of the degenerating exocrine pancreas still have faint granular, eosinophilic zymogen granules (right). 40X
AFIP Diagnoses:
1. Lung: Pneumonia, interstitial, acute, diffuse, moderate, with multifocal intraepithelial eosinophilic intranuclear inclusion bodies, Arabian horse, equine.
2. Lung: Pneumonia, pyogranulomatous, multifocal, random, moderate.
3. Pancreas, exocrine: Degeneration, necrosis, and loss, multifocal, moderate, with regeneration, fibrosis, ductular necrosis and acute inflammation, and intraepithelial eosinophilic intranuclear inclusion bodies.

Conference Note: Gram stains performed at the AFIP revealed moderate numbers of intrahistiocytic gram positive coccobacilli within pulmonary granulomas.

Combined immunodeficiency (CID), also known as severe combined immunodeficiency (SCID), is the most important congenital equine immunodeficiency. The condition is inherited as an autosomal recessive trait in Arabian horses. There has been one report of CID in an Appaloosa foal1, but pedigree analysis found at least one Arabian stallion in its ancestry, leaving open the possibility of genetic transmission. Foals affected with CID fail to produce functional T or B lymphocytes. After colostrum-derived antibodies wane in these foals, they become agammaglobulinemic, and usually die by 4 to 6 months of age as a result of overwhelming infections. Common etiologic agents include equine adenovirus, Rhodococcus equi, Pneumocystis carinii and Cryptosporidium parvum.

The specific defect in CID lies in a DNA-dependent protein kinase (DNA-PK) which is an essential enzyme in gene segment rearrangement during the synthesis of B- and T-cell receptors (BCR and TCR). During this process, large segments of DNA are excised so that V (variable), D (diversity), and J (joining) gene segments can be joined together. The DNA-PK, which rejoins the cut ends, consists of 3 linked peptides called KU80, KU70, and p350. In CID foals, the p350 component is totally absent. As a result, neither T nor B cells can form functional V regions in their TCR or BCR, so they are unable to respond to any antigen.5

Diagnosis of CID in foals requires that at least two of the following criteria be established:
1) circulating lymphocytes £ 1000/mm3
2) hypoplasia of primary and secondary lymphoid organs
3) absence of IgM from presuckle serum (the normal equine fetus synthesizes IgM, so a normal foal will always have some IgM in its serum.)5

Contributor: North Carolina State University, College of Veterinary Medicine, 4700 Hillsborough Street, Raleigh, NC 27606

References:
1. Perryman LE, Boreson CR, Conaway MW, Bartsch RC: Combined immunodeficiency in an Appaloosa foal. Vet Pathol 21:547-548, 1984.
2. Perryman LE, Torbeck RL: Combined immunodeficiency of Arabian horses: confirmation of autosomal recessive mode of inheritance. JAVMA 176(11):1250-1251, 1980.
3. McChesney AE, England JJ, Rich LJ: Adenoviral infection in foals. JAVMA 162(7):545-549, 1973.
4. Perryman LE, McGuire TC, Crawford TB: Maintenance of foals with combined immunodeficiency: causes and control of secondary infections. Am J Vet Res 39(6):1043,1047, 1978.
5. Tizard IR: Veterinary Immunology: An Introduction, 5th edition, W.B. Saunders, pp. 445-447, 1996.

International Veterinary Pathology Slide Bank:
Laser disc frame #2432, 2433, 2497-2499, 2619, 1620, 2715, 2716, 3120, 3121, 3908-3910, 4926, 4932, 4933, 5681, 5891-5893, 6657, 6658, 6717-6719, 7646, 8019, 9436, 12717, 12718, 12806-12808, 14424, 14425, 20945, 20946, 20977, 20978, 22224, 23351, 23352.

 

Case III - N94-3004 (AFIP 2503275); 1 photo.

Signalment: 14-month-old, female, Holstein-Friesian, bovine.

History: This heifer was one of a group of 54 animals on pasture and the second one to die within a two week period. It was found in sternal recumbency, reluctant to rise. When forced to move, it promptly lay down in a nearby pool of water. By the time it died four hours later, it had experienced severe dyspnea. Necropsy was completed within two hours of death.

Gross Pathology: The carcass was fresh, in very good nutritional condition and mildly dehydrated. There was a slight deposition of fibrin on the pleural surface of the lungs in contact with the pericardial sac. Approximately 30% of the pulmonary parenchyma in a cranioventral distribution was congested and edematous. There was a diffuse thin layer of fibrin on the epicardium, with scattered patches of black discoloration of the underlying myocardium. Numerous fibrinous plaques, each approximately 0.5 to 1 cm diameter, were present on the endocardial surfaces of the right and left atria and ventricles including the atrioventricular valves, and on the intimal surfaces of the pulmonary artery and aorta. The superficial and deep pectoral muscles had large locally-extensive dry, emphysematous, reddish-black friable areas with a rancid odor. The diaphragm was thickened by multiple foci of gelatinous edema fluid and hemorrhage.

Laboratory Results: Stained impression smears of heart, pericardial fluid and skeletal muscle had 2+, 2+, and 1+ Gram positive rods, respectively. Fluorescent antibody tests of heart and skeletal muscle were positive for Clostridium chauvoei, negative for Cl. novyi and Cl. septicum. Culture results of lung, spleen and liver were negative. Small numbers of Cl. chauvoei were isolated from heart, pericardial swab and skeletal muscle.

Contributor's Diagnoses and Comments: Heart (papillary muscle, left ventricle): Myocarditis, necrotizing, acute, transmural, severe with intralesional spore-forming rod-shaped bacteria; epicarditis, fibrinonecrotizing, acute, moderate, diffuse; endocardial necrosis, severe, acute, diffuse. Etiology: Clostridium chauvoei. Myocardium: intracellular protozoal cysts.

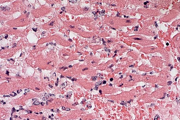
The section of heart submitted has diffuse lytic necrosis affecting myocardium, vasculature and cardiac conducting cells. Countless slender, blunt rod-shaped bacteria of varying lengths, often with subterminal spores, are distributed throughout the section. Variability in the intensity of sarcoplasmic staining creates a mosaic of increased eosinophilia in some areas and pallor in others, with increased granularity, coagulation of sarcoplasm, loss of cross-striations, fragmentation and lysis. Nuclear changes range from pyknosis to karyorrhexis and karyolysis. Small to moderate numbers of neutrophils are infiltrating muscle bundles and blood vessels. Vessel walls have adventitial edema, vacuolation and necrosis of tunica media. There is marked eosinophilia and collapse of cardiac conducting cells. The endocardium is necrotic. A few protozoal cysts consistent with Sarcocystis spp. are present in the myocardium.
 
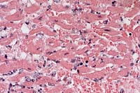
Case 24-3. Heart. The necrotic cardiac myofibers have hypereosinopilic, granular sarcoplasm. There is multifocal hemorrhage and a mild influx of neutrophils. 40X
AFIP Diagnoses:
1. Heart: Myocarditis and endocarditis, necrohemorrhagic, acute, diffuse, moderate, with vasculitis, fibrinosuppurative and hemorrhagic epicarditis, and numerous bacilli, Holstein-Friesian, bovine.
2. Heart, myocardium: Sarcocysts, few.

Conference Note: Clostridial myositis (synonyms: blackleg, black quarter, emphysematous gangrene) caused by Clostridium chauvoei occurs most frequently in cattle from 9 months to 2 years of age. The infection is acquired by the ingestion of spores during grazing. The pathogenesis differs from that of clostridial wound infections, in that ingested spores multiply in the intestine and pass through the intestinal mucosal barrier (possibly via macrophages) into blood and lymphatic circulation. The spores disseminate to tissues, especially muscle and liver, where they may lie dormant for long periods. These spores are activated by local events that create increased pH and lower oxygen tension. Clostridium chauvoei organisms have been found in the liver and spleen of up to 20% of normal cattle, suggesting that the liver may serve as a source for dissemination to muscle.

Clostridial exotoxins are elaborated and produce necrosis locally. The toxins produced include alpha toxin (hemolytic, necrotizing, and leukocidal activity), hyaluronidase (spreading activity), and deoxyribonuclease. There is toxin-induced myonecrosis, and injury to the capillary endothelium with resulting hemorrhage and edema, enhanced by the spreading effects of alpha toxin and hyaluronidase and the production of gas bubbles during the replication phase. Circulating toxins and tissue breakdown products lead to fatal toxemia.

Affected animals are frequently found dead without any observed clinical signs. Typical initial signs include lameness, depression, anorexia, rumen stasis, and high fever. Examination may reveal foci of subcutaneous crepitation over major muscles of the thigh, rump, loin, or shoulder that are initially small and hot but that rapidly enlarge and become cold and painless. Clinical signs progress rapidly and include tremors, dyspnea, and death in 12 to 24 hours.

Contributor: Western College of Veterinary Medicine, University of Saskatchewan, 52 Campus Drive, Saskatoon, SK S7N 5B4

References:
1. Hulland TJ: Muscle and tendon. In: Pathology of Domestic Animals, 4th ed., Jubb KVF, Kennedy PC, Palmers N (eds), Academic Press; vol. 1, pp. 247-250, 1993.
2. Radostitis OM, Blood DC, Gay CC: Veterinary Medicine, 8th ed. Balliere Tindall, London, pp. 684-686, 1994.

International Veterinary Pathology Slide Bank:
Laser disc frame #2810, 3316, 3317, 3420, 3421, 3704, 4176, 5041, 5250, 6476, 13550, 18957, 24296.

 

Case IV - 97-1678F or I (AFIP 2594128)

Signalment: 8-month-old, male, Springer Spaniel, canine.

History: This dog had a six week history of progressive bilateral hindlimb ataxia which was worse on the right side. On physical examination, the dog exhibited severe upper motor neuron paresis of the hindlimbs with normal cranial nerve and forelimb responses. No conscious proprioceptive deficits, spinal pain or upper motor neuron signs to the bladder were observed. The dog was euthanized.

Gross Pathology: Alimentary and abdominal cavity: Several feathers were found in the stomach. All other body systems had no visible lesions.

Contributor's Diagnosis and Comments: Nonsuppurative necrotizing encephalomyelitis (severe) due to Neospora caninum.

This case is illustrative of the typical lesions of Neospora caninum encephalomyelitis. Identification of the parasite was confirmed with immunohistochemistry using anti-Neospora antiserum. Neospora caninum is morphologically similar to Toxoplasma gondii, and it causes similar lesions in the central nervous system. Neospora caninum encephalitis and myelitis are most common in puppies and young dogs, and transplacental transmission has been documented. The disease has also been reported in adult dogs and in cats. Neospora is an important cause of abortion in dairy cattle. The complete life cycle of N. caninum is not known.
 
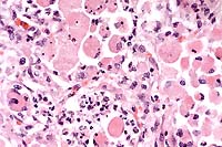
Case 24-4. Spinal cord. The white matter has diffuse degeneration. There is a protozoal cyst (Neospora caninum) containing numerous bradyzoites to the left and a cluster of histiocytes to the lower right. 40X
AFIP Diagnosis: Spinal cord: Meningomyelitis, necrotizing, lymphohistiocytic, multifocal, severe, with axonal degeneration and loss, diffuse gliosis, and small numbers of protozoal cysts, Springer Spaniel, canine.

Conference Note: Neospora caninum is an obligate intracellular apicomplexan parasite. Natural infection has been reported in several mammalian species, including dogs, cats, sheep, cattle, goats, and horses. Definitive hosts and sexual stages are presently unknown, but a carnivorous host is suspected due to the organism's structural similarity to Toxoplasma gondii.10 Tachyzoites and tissue cysts containing bradyzoites are the only known stages of N. caninum. Tachyzoites have been found in many cell types, whereas tissue cysts have only been found in neural tissues.2

Neospora caninum causes fatal disease in dogs of all ages, although it is most commonly reported in young dogs, where it is usually characterized by severe progressive ascending paralysis, polyradiculoneuritis, polymyositis, and encephalomyelitis. In cattle, N. caninum is recognized as a cause of abortion and neonatal loss. A recent study showed that N. caninum can readily infect sheep and be pathogenic for the ovine fetus, with resulting lesions that resemble those induced by T. gondii in pregnant ewes.11

Distinguishing N. caninum from T. gondii by light microscopy can be difficult. Neospora caninum tissue cysts, which occur only in neural tissue, have a 1-4 mm thick wall, whereas T.gondii cysts may be found in many tissues and the cyst wall is always less than 1 mm thick.6 The use of other diagnostic techniques such as electron microscopy, immunohistochemistry, and immunofluorescent antibody tests are preferred in making a definitive diagnosis.

Contributor: University of Minnesota, Department of Veterinary Diagnostic Medicine, 1333 Gortner Avenue, St. Paul, MN 55108

References:
1. Barber JS, Payne-Johnson CE, Trees AJ: Distribution of Neospora caninum within the central nervous system and other tissues of six dogs with clinical neosporosis. Journal of Small Animal Practice 37: 568-574, 1996.
2. Cole RA, Lindsay DS, Blagburn BL, Sojonen DC, Dubey JP: Vertical transmission of Neospora caninum in dogs. Journal of Parasitology 81 (2): 208-211, 1995.
3. Dubey JP: Neospora caninum: a look at a new Toxoplasma-like parasite of dogs and other animals. Compendium on Continuing Education- Small Animals 12 (5): 653-663, 1990.
4. Dubey JP, Carpenter DL, Speer CA, Topper MJ, Uggla A: Newly recognized fatal protozoan disease of dogs. Journal of American Veterinary Medical Association 192 (9): 1269-1285, 1988.
5. Dubey JP, Koestner A, Piper RC: Repeated transplacental transmission of Neospora caninum in dogs. Journal of American Veterinary Medical Association 197 (7): 857-860, 1990.
6. Dubey JP, Lindsay DS: Neosporosis. Parasitology Today 9: 451-458, 1993.
7. Hay WH, Shell LG, Lindsay DS, Dubey JP: Diagnosis and treatment of Neospora caninum infection in a dog. Journal of American Veterinary Medical Association 197 (1): 87-89, 1990.
8. Jardine JE: The ultrastructure of bradyzoites and tissue cysts of Neospora caninum: absence of distinguishing morphologic features between parasites of canine and bovine origin. Veterinary Parasitology 62: 231-240, 1996.
9. Knowlen C, Wheeler SJ. Neospora caninum infection in three dogs. Journal of Small Animal Practice 36: 172-177, 1995.
10. Ruehlmann D, Podell M, Oglesbee M, Dubey JP: Canine neosporosis: A case report and literature review. Journal of American Animal Hospital Association 31 (2): 174-183, 1995.
11. Buxton D, Maley SW, Thomson KM, Trees AJ, Innes EA: Experimental infection of non-pregnant sheep with Neospora caninum. J Comp Path 117:1-16, 1997.

International Veterinary Pathology Slide Bank:
Laser disc frame #22918-22920.

Terrell W. Blanchard
Major, VC, USA
Registry of Veterinary Pathology*
Department of Veterinary Pathology
Armed Forces Institute of Pathology
(202)782-2615; DSN: 662-2615
Internet: blanchard@email.afip.osd.mil

* The American Veterinary Medical Association and the American College of Veterinary Pathologists are co-sponsors of the Registry of Veterinary Pathology. The C.L. Davis Foundation also provides substantial support for the Registry.

Return to WSC Case Menu.