Results
AFIP Wednesday Slide Conference - No. 16


28 January 1998

Conference Moderator:
LTC Mark Martinez, Diplomate, ACVP
Pathology Division
U.S. Army Medical Research Institute of Infectious Disease
Ft. Detrick, Frederick, MD 21702-5011

Return to WSC Case Menu.

Case I - S-56524 (AFIP 2607945); two photos

Signalment: 12-month-old, male, Beagle, canine.

History: This dog arrived from a commercial vendor at approximately 5 months of age, and was clinically normal. As per our animal conditioning protocols for pretest dogs, this animal was routinely administered an anthelmintic, vaccinated, and repeated examinations of hematology, serum biochemistry, and urinalysis parameters were performed. An initial ophthalmoscopic examination was normal when the dog was 10 months old. When the dog was approximately 12 months old, both eyes appeared blue and prominent, and an ophthalmologic examination revealed bilateral buphthalmia, increased intraocular pressures, anterior uveitis, and corneal edema. A clinical diagnosis of bilateral glaucoma was made. The dog was determined to be ineligible for inclusion in safety studies and was euthanatized.

Gross Pathology: At necropsy, the eyes had blue opaque corneas. Both eyes were promptly enucleated, fixed in Zenker's fixative for several hours, rinsed in ethanol for at least two days, then sectioned at 5 mm, and stained with hematoxylin and eosin.

Laboratory Results: Hematology, serum biochemistry, and urinalysis results were within normal limits for our laboratory.

Contributor's Diagnosis and Comments: Severe bilateral granulomatous anterior uveitis.

Etiology: suspected immune-mediated response (unknown antigen).

Both eyes had a severe granulomatous uveitis that was limited to the anterior uvea, and the adjacent sclera and episcleral tissues. There was also a severe superficial stromal corneal edema, and a very slight infiltrate of mononuclear inflammatory cells dissecting between the corneal endothelium and Descemet's membrane. All of these changes are most consistent with an immunologically-mediated injury. The granulomatous reaction is somewhat reminiscent of Vogt-Koyanagi-Harada (VKH) syndrome, though the limitation to the anterior uvea and sparing of the posterior uvea is atypical for that condition. The eyes were subsequently examined by two independent veterinary ophthalmology consultants, who each concurred with the above observations.
 
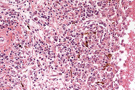
Case 16-1. Eye. The iris is expanded by an influx of lymphocytes, plasma cells, and histiocytes. Eosinophilic, proteinaceous exudate is in the anterior chamber (right). 20X
AFIP Diagnosis: Eye: Anterior uveitis, lymphoplasmacytic and histiocytic, diffuse, moderate, with corneal edema, peripheral keratitis, scleritis, episcleritis, and proteinaceous exudate in anterior, posterior, and vitreous chambers, Beagle, canine.

Conference Note: Conference participants noted mild attenuation of the filtration angles, which likely caused the increased intraocular pressure by interfering with fluid drainage from the anterior chamber. However, histologic changes compatible with glaucoma (i.e. atrophy of inner retinal layers, optic disc cupping) are not present.

The pathogenesis of Vogt-Koyanagi-Harada (VKH) syndrome in humans is believed to involve the development of autoantibodies and cytotoxic T cells to melanocytes. However, human patients also develop neurologic lesions and a wide range of other immunological abnormalities. In dogs, no consistent immunological abnormalities have been observed.5

In dogs with VKH-like syndrome, uveitis usually precedes or occurs simultaneously with skin disease. The skin lesion is a symmetric facial poliosis and vitiligo, with variable erythema and crusting. Lesions may also be found on the footpads or perianal region, and in some cases can become generalized. Akitas, Samoyeds, Siberian Huskies, Alaskan Malamutes, Chow Chows, and crosses of these breeds are at increased risk.4

Another cause of uveitis and corneal edema in dogs is an immune-complex reaction to antigens of canine adenovirus 1. Uveitis in that condition is seen both in dogs with natural infection and in those vaccinated with live attenuated adenovirus vaccine. The uveitis results from the formation of virus-antibody complexes in the anterior chamber and cornea, with complement activation and consequent neutrophil accumulation. The neutrophils release enzymes that damage corneal epithelial cells, resulting in corneal edema and opacity.5 A reaction of this type is considered likely in this case.

Contributor: Merck Research Laboratories, Department of Safety Assessment, West Point, PA 19486

References:

1. Gelatt KN: Veterinary Ophthalmology, 2nd edition, Lea & Febiger, Philadelphia, pp. 382-386, 1991.
2. Clerc B, LaForge H: Ocular manifestations of systemic diseases. In: Textbook of Veterinary Internal Medicine, 4th edition, Ettinger SJ, Feldman FC (eds.), W.B. Saunders, Vol. 1, p. 531, 1995.
3. Slatter D: Fundamentals of Veterinary Ophthalmology, 2nd edition, W.B. Saunders, pp. 326-327, 1990.
4. Gross TL, Ihrke PJ, Walder EJ: Veterinary Dermatopathology, Mosby Year Book, St. Louis, pp. 148-150, 1992.
5. Tizard IR: Veterinary Immunology: An Introduction. 5th edition, W.B. Saunders, pp. 308, 415-416, 1996.

International Veterinary Pathology Slide Bank:
Laser disc frame #4723, 4819, 10204, 16887

 

Case II - 970402 or 970608 (AFIP 2603955)

Signalment: 4- to 6-week old, female, BALB/c mice.

History: This group of BALB/c mice was inoculated with cowpox virus by small particle aerosol inhalation, and was sacrificed on day 12 post exposure, which in this case was the experiment's termination. Immediately prior to performing the necropsy on these mice, select tissues were collected for virus isolation and viral titer determination.

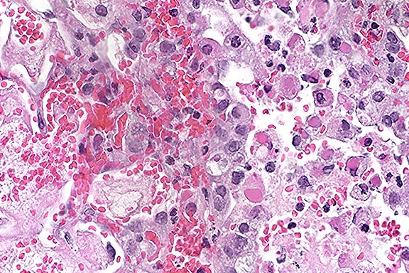
Gross Pathology: Involving 50-85% of the lungs, there were multifocal to coalescing, sometimes lobular, areas of dark-red consolidation. The cranial mediastinum was hemorrhagic. The thymus was not recognizable in this group. Distal areas on the tails had multifocal to coalescing ulcers and necrosis.

Contributor's Diagnosis and Comments: Lung: Bronchopneumonia, necrotizing, fibrinohemorrhagic, neutrophilic and histiocytic, multifocal to coalescing, moderate to severe, with eosinophilic intracytoplasmic inclusion bodies, intracellular edema, and epithelial proliferation, BALB/c mouse, rodent.

Etiology: Cowpox virus (Orthopoxvirus)

Cowpox is endemic to Europe and parts of western Asia, but despite its name, is not endemic in cattle and is seen in this species only rarely.11 Cowpox can affect a wide range of animals including wild and domestic Felidae, cattle, rodents, humans, and captive mammals to include elephants and rhinoceroses.2,11 Although the domestic cat is the most frequently reported host of cowpox virus in western Europe, the reservoir host appears to be wild rodents such as wild bank voles, field voles, and woodmice; these are species in which a high prevalence of Orthopoxvirus antibody is believed to indicate cowpox virus infection and not infection with ectromelia or vaccinia viruses.3 Domestic cats presumably become infected with cowpox virus while hunting small rodents. An increased disease attack rate during autumn in domestic cats corresponds with peak rodent population and activity. The primary cutaneous lesions seen early on in infected cats are typically ulcerative with proliferative borders and involve the head, oral cavity, neck, forelimbs and paws. Viremia, either spontaneous or related to compromised immunity, such as that seen with feline immunodeficiency virus infection, corticosteroid or progesterone therapy, results in pyrexia, and generalized cutaneous lesions. Occasionally oral and pulmonary involvement is also seen.2,11 A fibrinonecrotic, often fatal, bronchopneumonia is commonly seen in nondomestic cats, especially cheetahs.

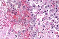
Generally, microscopic examination also reveals involvement of the mesodermal tissues and the presence of A-type and B-type intracytoplasmic inclusion bodies; these features are present in the submitted case. A-type inclusions are large, homogeneous, eosinophilic and numerous, while B-type inclusions are somewhat faintly eosinophilic and irregularly shaped.6

Human cowpox usually results from direct cutaneous inoculation, and in endemic areas a large percentage of cases are associated with direct contact with infected rural domestic cats. Like domestic cats, human cases have a higher incidence during the late summer and early autumn in Britain and Western Europe. Cutaneous lesions in humans are usually limited to the hands and face, and systemic symptoms such as fever, malaise and lymphadenopathy are common. Death may occur in eczematous and immunocompromised individuals.1,2

Several recent findings regarding the pathogenesis of poxvirus infection are noteworthy. The poxvirus genome encodes proteins that can either antagonize or compete with molecules involved in the host-virus interaction.11 These viral proteins are members of different viral protein families consisting of the cell-associated cytokine response-modifying or serpin-related protein family, which includes a complement control protein, a neurovirulence factor and a group of cytokine-binding proteins.7

Vaccinia virus is the best characterized member of the Orthopoxvirus genus, but rodents are not natural hosts for vaccinia virus and vaccinia-infected rodents do not correlate with vaccinia or smallpox virus-infected humans. Notwithstanding, vaccinia complement control protein was the first microbial protein shown to be structurally similar to mammalian complement control proteins, to bind to C3 and C4, to block the complement cascade at a variety of sites, to block complement-dependent neutralization assays, to enhance repair of cutaneous lesions in rabbits, and to exhibit more activity than the human complement control protein counterpart. A highly conserved homolog of vaccinia complement control protein is also encoded by the small pox and cowpox viruses. Rodents are natural hosts for cowpox virus and may serve as a practical and optimal model for simulating natural smallpox virus infection in humans.7

Many poxviruses (such as vaccinia, ectromelia and cowpox viruses) have been shown to express an extracellular soluble interferon-gamma binding protein which blocks receptor-ligand binding, subsequent signal induction and anti-viral effects of interferon-gamma.10

In addition to virus-encoded host-interactive proteins (homologues of host proteins which inhibit specific host defenses), host factors also contribute to the pathogenesis of poxvirus disease. For example, not all strains of mice are equally susceptible to the lethal effects of ectromelia virus infection. Such resistance to lethal effects of mousepox is apparently partially controlled by multiple unlinked autosomal dominant genes, some of which encode the natural killer cell receptor complex and the fifth component of complement.4

Poxviruses represent a large family of double-stranded DNA viruses that infect vertebrate and invertebrate hosts. Cowpox virus belongs to the Orthopoxvirus genus of the subfamily Chordopoxvirinae, family Poxviridae. Vaccinia virus, the prototypal member of the Orthopoxvirus genus, was the first animal virus seen microscopically, cultured, accurately titered, purified, and analyzed; all orthopoxviruses are closely related and have not been demonstrated to exhibit cross-hybridization with members of other poxvirus genera.6,9 Although cowpox virus was originally used by Jenner in 1796 to debut vaccination, at that time against smallpox in humans, vaccinia virus has since been used for vaccination against smallpox.

Since smallpox has been ostensibly eradicated since 1980, variola virus can be found in only two scientific laboratories today.7 An outbreak of smallpox (or possibly a disease caused by a modified animal poxvirus) as a result of terrorism, biological warfare, or laboratory mishandling or disaster may create a public health crisis with significant numbers of primary and secondary cases with high morbidity and mortality. Due to a minimal level of current smallpox vaccination, such a crisis may not be readily controlled by post-exposure vaccination or antiviral drug therapy. Antiviral drugs are being screened for efficacy against potential surrogate orthopoxviruses such as vaccinia, cowpox virus, monkeypox virus, and camelpox virus. Subsequent testing, in some cases, against variola virus yielded promising results; however, further studies of candidate anti-Orthopoxvirus drugs require animal models in which an Orthopoxvirus infection approximates the pathogenesis of human smallpox. Monkeypox virus in humans causes disease similar to smallpox, and is currently at the center of an upsurge of human monkeypox in the Democratic Republic of Congo (formerly Zaire). Public health experts are alarmed over this confined "outbreak" in Africa and express concern over the potentially "emerging" disease which may be in part due to compromised immune systems, increased virulence, and increased human-to-human transmission.5 Infection of cynomolgus monkeys with monkeypox virus approximates human smallpox (G. Zaucha, unpublished data); however, the availability of a small rodent model would greatly facilitate the logistical and economical aspects of antiviral drug research.
 
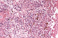
Case 16-2. Lung. There is necrosis of a respiratory bronchiole. Alveoli contain hemorrhage and serofibrinous exudate. Several large, cytoplasmic, hypereosinophilic pox inclusions are in the sloughing bronchiolar epithelium. 40X
AFIP Diagnoses:
1. Lung: Bronchopneumonia, necrotizing, subacute, multifocal, severe, with type II pneumocyte hyperplasia, necrotizing vasculitis, and eosinophilic intracytoplasmic inclusion bodies, BALB/c mouse, rodent.
2. Lymph node, mediastinal: Hyperplasia, lymphoid, follicular and paracortical, mild, with plasmacytosis.

Conference Note: Tissue sections that had been immunohistochemically stained for poxviral antigen were viewed in conference. Viral antigen was demonstrated in intracytoplasmic inclusions in numerous cell types, including bronchiolar epithelial cells, alveolar macrophages and pneumocytes, and smooth muscle cells. Electron micrographs also demonstrated typical pox virions within the cytoplasm of numerous cells.

Ultrastructural features of poxvirus include (1) a nucleocapsid core (a shell of inner and outer membranes containing viral DNA in the form of linear 200,000-base pair duplex molecules with hairpin loops connecting the two strands at each end); (2) an intermediate coat (an outer membrane and an inner shell that expands into two lateral bodies); and (3) the lipoprotein envelope. A dense body is adjacent to the inner shell.12

Contributor: Pathology Division, U.S. Army Medical Research Institute of Infectious Disease, Ft. Detrick, Frederick, MD 21702-5011

References:

1. Baxby D, Bennet M, Getty B: Human cowpox 1969-93: a review based on 54 cases. Br J Dermatol Nov;131(5):598-607, 1994.
2. Bennet M, Baxby D: Cowpox in cats and man. Vet Q Apr;17 Supple 1:S16, 1995.
3. Bennet M, et al: Cowpox in British voles and mice. J Comp Path Vol 116:35-44, 1997.
4. Brownstein DG, Gras L: Differential pathogenesis of lethal mousepox in congenic DBA/2 mice implicates natural killer cell receptor NKR-P1 in recruitment of circulating leukocytes to spleen. Am J Pathol Apr;150(4):1407-20, 1997.
5. Cohen J: Is an old virus up to new tricks? Science 277(5324):312-313, 1997.
6. Fenner F: Poxviruses. In: Fields Virology, 3rd edition, Fields BN, Knipe DM, Howley PM (eds.), Lippincott-Raven Publishers, vol. 2, pp. 2673-2702, 1996.
7. Franz D, et al: Clinical recognition and management of patients exposed to biological warfare agents. J Am Med Assn, 278(5):399-411, 1997.
8. Miller CG, Shchelkunox SN, Kotwal GJ: The cowpox virus-encoded homolog of the vaccinia virus complement control protein is an inflammation modulatory protein. Virology 229:126-133, 1997.
9. Moss B: Poxviridae: The viruses and their replication. In: Fields Virology, 3rd edition, Fields BN, Knipe DM, Howley PM (eds.), Lippincott-Raven Publishers, vol. 2, pp. 2637-2672, 1996.
10. Mossman K, Upton C, Buller RML, McFadden G: Species specificity of ectromelia virus and vaccinia virus interferon-gamma binding proteins. Virol 208:762-769, 1995.
11. Yager JA, Scott DW: The skin and appendages. In: The Pathology of Domestic Animals, Jubb KVF, Kennedy PC, Palmer N (eds.), Academic Press, Inc., vol. 1, pp. 633-635, 1993.
12. Cheville NF: Ultrastructural Pathology: An Introduction to Interpretation. Iowa State University Press, Ames, IA, pp. 494-495, 1994.
 
International Veterinary Pathology Slide Bank:
Laser disc frame #4479-80.

 

Case III - AFIP-2 (AFIP 2593325)

Signalment: 100-week-old, male, CD rat.

History: The rat was found dead in its cage near the end of a carcinogenicity study.

Gross Pathology: The right adrenal gland was enlarged (10 mm diameter). For comparison, the left adrenal gland was 5 x 4 x 4 mm.

Contributor's Diagnosis and Comments: Ganglioneuroma, adrenal, rat.

Ganglioneuromas of the adrenals are rarely seen in rats. The distinguishing feature of the ganglioneuroma is the presence of ganglion cells with supporting neural cells. The ganglion cells form small clusters and are sometimes surrounded by large masses of supporting tissue. The multipolar ganglion cells have large, pale nuclei with prominent often eccentric nucleoli. The supporting cells are of the Schwann's-cell type and are small, with little cytoplasm. The proliferating pheochromocytes which occur coincidentally with ganglioneuromas are frequently found in the outer portions of the ganglioneuroma, but a clear-cut border between the two cell types is often difficult to detect. The nuclei of the small polyhedral pheochromocytes are usually round, containing marginated chromatin and often one or two nucleoli.
 
Case 16-3. Adrenal. Neoplastic ganglion cells (lower right) are within and separated from residual cortical cells (uper left) by a loose fibrillar mesenchyme. 10X
AFIP Diagnosis: Adrenal gland: Ganglioneuroma, CD rat, rodent.
 
Conference Note: Several conference participants noted the presence of mitoses in clusters of pheochromocytes in peripheral regions of the neoplasm. This led some to the conclusion that this neoplasm represents a complex pheochromocytoma, i.e. an adrenal medullary mass composed of neoplastic pheochromocytes and ganglion cells interspersed among nerve fibers and Schwann cells.3 However, the presence of mitoses in pheochromocytes may be the result of either hyperplasia or neoplasia.

The differential diagnosis of adrenal medullary neoplasms containing a mixture of ganglion cells, neural stromal cells, and neoplastic pheochromocytes is controversial. These components most likely represent divergent differentiation from a common progenitor cell.2,3 Hamlin and Banas recommend that, due to the "phenotypic plasticity of neoplastic medullary cells", only those tumors consisting of >80% ganglion cells and nerve fibers should be diagnosed as ganglioneuromas.2

Contributor: Covance Laboratories, P.O. Box 7545, Madison, WI 53704

References:

1. Jones TC, Mohr U, Hunt RD: Ganglioneuroma, Adrenal, Rat. In: Endocrine System, Monographs on Pathology of Laboratory Animals. 2nd edition, Springer Verlag, 1996.
2. Hamlin MH II, Banas DA: Adrenal Gland. In: Pathology of the Fischer Rat; Reference and Atlas, Boorman GA, Eustis SL, Elwell MR, Montgomery CA, MacKenzie WF (eds.), Academic Press, Inc, pp. 513-514, 1990.
3. Brown WR, Gough A, Hamlin MH II, Hottendorf GH, Patterson DR: Proliferative lesions of the adrenal glands in rats, E-4. In: Guides for Toxicologic Pathology, STP/ARP/AFIP, Washington, D.C., 1995.
 

Case IV - L-59 (AFIP 2600614)

Signalment: 12-year-old, neutered, horse.

History: This animal was necropsied in winter, and was part of a survey to study the prevalence at necropsy of taeniasis among grazing horses in France. It died from an unrelated condition.

Gross Pathology: Up to 300 parasites were attached to the mucosa of the proximal cecum, near the ileocecal junction. These parasites were identified macrosocpically as Anoplocephala perfoliata. Reddish discoloration of the mucosa with multifocal ulceration were observed.

Contributor's Diagnosis and Comments: Cecum: typhlitis, erosive, severe, locally extensive with attached Anoplocephala perfoliata, and luminal Balantidium coli.

The mucosa is ulcerated, slightly depressed, and is matted with an inflammatory exudate composed of fibrin admixed with degenerated eosinophils. A few sections of a 50 to 80 mm protozoan parasite showing a macronucleus are present superficially. They are interpreted as Balantidium coli. There is some mucoid metaplasia of the glandular epithelium. The lamina propria is infiltrated by numerous lymphocytes, plasma cells and eosinophils, with fewer macrophages. The submucosa is moderately edematous and is similarly inflitrated. It contains prominent blood vessels. A section of cestode, morphologically compatible with Anoplocephala perfoliata is observed in the lumen.

Anoplocephala perfoliata, which is among the most frequent intestinal parasites in horses, is commonly associated with lesions and occasionally with mortality. Although some horses were heavily infested in this study (sometimes several thousands of parasites), the parasite was never the cause of death.

Balantidium coli has been reported in the large bowel of swine, rodents and primates, including man, and occasionally in dogs. This protozoan organism is normally present as a commensal in the large bowel of these species, and is sometimes found in large number associated with inflammatory conditions, but its pathogenic role is unknown. It is sometimes known as the "scavenger" organism. To the best of our knowledge it has not been reported in horses.
 
Case 16-4. Cecum. A cestode (Anoplocephala perfoliata) is attached to the eroded mucosa which also has a surface fibrinocellular inflammatory exudate. 2X
AFIP Diagnosis: Cecum: Typhlitis, erosive, eosinophilic, chronic, diffuse, severe, with submucosal vascular hyperplasia, luminal cestode and ciliated protozoa, breed unspecified, equine, helminth etiology consistent with Anoplocephala perfoliata.

Conference Note: This case was reviewed by C. H. Gardiner, PhD, veterinary parasitology consultant to the AFIP. He believes that the genus of the ciliated protozoan cannot be definitively determined in this section. Fixed, trichrome-stained fecal samples are usually needed to identify Balantidium sp. As the contributor noted, Balantidium is usually found in primates and swine; there are numerous other genera of protozoa which may be found in the intestines of horses.

Gross lesions of Anoplocephala perfoliata infection in the horse include mucosal erosion and ulceration, especially at the ileocecal orifice. The depressed surface is often covered by a fibrinous exudate, sometimes with hemorrhage. Ileocecal and cecocecal intussusception, and occasionally intestinal perforation, have also been associated with infection by this cestode.1

Other tapeworms of horses include Anoplocephala magna and Paranoplocephala mamillana, both of which are found in the small intestine and rarely in the stomach. A. magna in large numbers can cause a catarrhal or hemorrhagic enteritis, whereas P. mamillana is seldom associated with significant lesions.3 All of these cestodes use oribatid mites as intermediate hosts. Cysticercoids are produced in these mites 2 to 4 months after infection. Horses become infected by ingesting the mites with feedstuffs, and adult worms can be found 4 to 6 weeks after ingestion of the mites.

Contributor: Pfizer, Centre de Recherches, Department of Pathology, 37401 AMBOISE, France.

References:

1. Barker IK, Van Dreumel AA, Palmer N: The alimentary system. In: Pathology of Domestic Animals, 4th edition, Jubb KVF, Kennedy PC, Palmer N (eds.), Academic Press, New York, vol. 2, pp. 88, 101, 288, 1993.
2. Gardiner CH, Fayer R, Dubey JP: An Atlas of Protozoan Parasites in Animal Tissues, United States Dept. of Agriculture, Agriculture Handbook No. 651, pp. 16-17, 1988.
3. Soulsby EJL: Helminths, Arthropods and Protozoa of Domesticated Animals. 7th edition, Lea & Febiger, Philadelphia, pp. 92-93, 1982.

International Veterinary Pathology Slide Bank:
Laser disc frame #592, 1077, 2419, 14617-18, 20209, 22170

Terrell W. Blanchard
Major, VC, USA
Registry of Veterinary Pathology*
Department of Veterinary Pathology
Armed Forces Institute of Pathology
(202)782-2615; DSN: 662-2615
Internet: blanchard@email.afip.osd.mil

* The American Veterinary Medical Association and the American College of Veterinary Pathologists are co-sponsors of the Registry of Veterinary Pathology. The C.L. Davis Foundation also provides substantial support for the Registry.

Return to WSC Case Menu.