Results
AFIP Wednesday Slide Conference - No. 9
5 November 1997

Return to WSC Case Menu.

Conference Moderator: Dr. Jennifer Burris Diplomate, ACVP
Food and Drug Administration HFV-150
750 Standish Place
Rockville, MD 20855

Case I - 87-D-14 (AFIP 2590965)

Signalment: 16-month-old, female, New Zealand white rabbit (Oryctolagus cuniculus)

History: The rabbit developed an ulcerated mass under the tail.

Gross Pathology: There was a firm lobulated ulcerated mass approximately 7-8 cm in diameter under the tail that partially surrounded the rectum dorsally and laterally. On section the tumor was tan, lobulated, and partially encapsulated.

Contributor's Diagnosis and Comments: Eosinophil granulocytic sarcoma.

The cytoplasmic granules stained eosinophilic with the Wright-Giemsa stain and non-metachromatic with the toluidine blue stain. They contained crystalloid structures characteristic of eosinophil granules when examined using electron microscopy. Peripheral blood was not examined, but the bone marrow, spleen, liver, lungs, lymph node, and vessels within the heart contained numerous eosinophils similar to those within the tumor. The rabbit was not used for antibody production or for any other experimental procedure. The case is very similar to that recently reported by Perkins, Murphy, and Alroy.
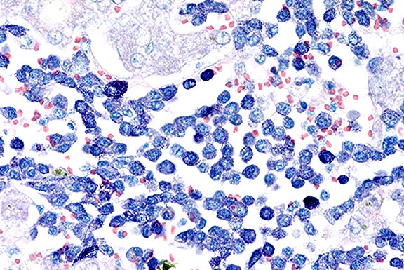
Case 9-1. Skin. Well-differentiated eosinophils clustered in a dilated venule and infiltrating the dermis. 40X

AFIP Diagnosis: Haired skin, dermis and subcutis: Eosinophil infiltrate, severe, with fibrosis and fewer lymphocytes, plasma cells, mast cells and neutrophils, New Zealand white rabbit, lagomorph.

Conference Note: Although the contributor's diagnosis was carefully considered, and it is agreed that the submitted case resembles that reported by Perkins et al., it was concluded that the nature of the process represented in the skin sections is uncertain. Since the infiltrate does not contain atypical cells, blasts or immature myeloid cells, a reactive lesion cannot be excluded. Possible causes include hypersensitivity, parasites, drugs and non-eosinophil neoplasia.

In humans, eosinophilic proliferations are uncommon. Most have been described as "chronic eosinophilic leukemia" and are characterized by widespread organ involvement, especially in skin, heart, and lymph nodes accompanied by marked peripheral blood eosinophilia. Cytogenetic studies are often needed to demonstrate that the eosinophilia is neoplastic and not reactive.

Granulocytic sarcoma, or chloroma, is the extramedullary growth of focal granulocytic neoplasms, and may be of neutrophil or eosinophil type. These have been reported in dogs and cattle.2 In dogs, the most commonly involved organs are lung, gut, and skin. In cattle, skeletal muscle is characteristically affected. Affected animals are initially aleukemic, and the neoplastic proliferation exhibits variable differentiation. If there is minimal differentiation, this lesion is usually misclassified as lymphoma. If 1-2 µm sections are examined, cytoplasmic granulation is more readily apparent.

Contributor: Department of Comparative Medicine, M.S. Hershey Medical Center, PennState University, 500 University Drive, Box 850, Hershey, PA 17033

References:
1. Perkins SE, Murphy JC, Alroy J: Eosinophil granulocytic sarcoma in a New Zealand white rabbit. Vet Pathol 33:89-91, 1996.
2. Valli VEO: The Hematopoietic System. In: Pathology of Domestic Animals, 4th ed. Jubb, Kennedy, Palmer, eds., vol 3., p. 128, 1993.

International Veterinary Pathology Slide Bank:
Laser disc frame #: none

 

Case II - 7859-97 (AFIP 2594815)

Signalment: 17-year-old, neutered, female, Domestic Shorthair cat.

History: Euthanasia was performed on this aged cat after she becameseverely depressed and began bleeding from her mouth and nose.

Gross Pathology: The liver and spleen were enlarged. The liver was pale yellow with an accentuated lobular pattern and multiple, variably-sized, areas of hemorrhage disseminated throughout all lobes.

Laboratory Results: Prior to euthanasia: anemia (Hct = 14%) with polychromasia; leukocytosis with lymphopenia; thrombocytopenia (63,000/microliter); hypoproteinemia (5.5 g/deciliter); azotemia; hypokalemia.

Postmortem cytology of bone marrow: Mast cells were observed among other hematopoietic cells.

Contributor's Diagnosis and Comments: Liver: Systemic mastocytosis ("mast cell leukemia") with periacinar hepatocellular necrosis and bilirubin accumulation (cholestasis).

This case is an example of systemic mastocytosis in a cat. Metachromatic cytoplasmic granules were easily demonstrated in neoplastic mast cells with toluidine blue or Giemsa stains. Although gastroduodenal ulcers (probably secondary to histamine release) can develop in cats with this disease, none were found in this case. Disseminated intravascular coagulopathy may have contributed to the terminal clinical and hematologic findings.
 
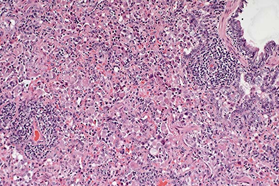
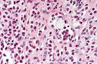
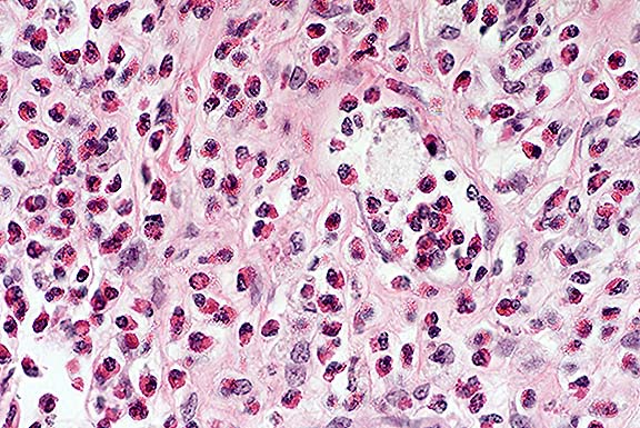
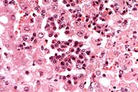
Case 9-2a. Neoplastic mast cells expand the sinusoids between necrotic hepatocytes (right). 40X
Case 9-2b. The mast cells contain sparse to numerous reddish-purple (metachromatic) granules in the cytoplasm. Giemsa. 40X
AFIP Diagnoses: 1. Liver: Mast cell tumor, malignant, Domestic Shorthair cat, feline. 2. Liver: Necrosis, coagulative, centrilobular, diffuse.

Conference Note: Although this feline lesion is often called mastocytosis, the diagnosis of malignant mast cell tumor was preferred because the term mastocytosis does not clearly indicate that the condition is neoplastic.

In cats with this form of mast cell neoplasia, splenomegaly due to massive infiltration of mast cells is consistently found. Other organs often involved include liver, lymph nodes, and bone marrow. Approximately 50% of affected cats have mastocytemia.

The origin of mast cells is controversial. Although they are functionally similar to basophils, there is no evidence that the basophil is a precursor of the tissue mast cell; neither is there proof of a common basophil-mast cell progenitor.4

Mast cells are essential in the development of type 1 hypersensitivity reactions. Mast cells possess high-affinity receptors for the Fc portion of IgE molecules, which are formed by B lymphocytes upon first exposure to an allergen. On subsequent exposure to the specific allergen, multivalent antigens bind to more than one IgE molecule and cause cross-linkage of adjacent IgE antibodies. This bridging of IgE molecules bound to the mast cell leads to perturbation of the Fc receptor and initiates two parallel and interdependent processes, one leading to mast cell degranulation with discharge of preformed (primary) mediators, and the other leading to de novo synthesis and release of secondary mediators. Primary mediators comprise four categories: biogenic amines, such as histamine (and serotonin in rodents); chemotactic mediators, primarily eosinophil chemotactic factor (ECF); enzymes, both proteases (chymase, tryptase) and acid hydrolases; and proteoglycans, including the well-known anticoagulant heparin. Secondary mediators synthesized by mast cells include leukotrienes B4, C4, and D4; prostaglandin D2; platelet activating factor; and various cytokines.

Contributor: Animal Disease Diagnostic Laboratory - 1175, Purdue University, West Lafayette, IN 47907-1175.

References:
1. Valli VEO: The hematopoietic system. In: Pathology of Domestic Animals, 4th ed. Jubb, Kennedy, Palmer, eds., vol 3., pp. 127-128, 1993.
2. Moulton JE, Harvey JW: Tumors of the lymphoid and hematopoietic tissues. In: Tumors in Domestic Animals, 7th ed., Moulton JE, ed., University of California Press, pp. 295-296, 1990.
3. Duncan JR, Prasse KW, Mahaffey EA: Veterinary Laboratory Medicine: Clinical Pathology. Iowa State University Press; p. 44, 1994.
4. Cotran RS, Kumar V, Robbins SL: Robbins Pathologic Basis of Disease, 5th ed.,W.B. Saunders Co., pp. 65, 179-182, 1994

International Veterinary Pathology Slide Bank:
Laser disc frame #5962, 5963, 6010, 6011

 

Case III - UNL-VDC (AFIP 2596385)

Signalment: 1.5-year-old, female, European ferret (Mustela putorius furo)

History: This ferret came from a household of 8 ferrets. The owner said the animal had stopped eating and had begun to show respiratory distress. Upon presentation to a veterinarian, the ferret was euthanatized.

Gross Pathology: The lungs were diffusely firm and mottled tan and red. The spleen was enlarged.

Laboratory Results: No bacterial growth was obtained in cultures of lung. Fluorescent antibody tests for canine distemper virus were negative on lung.

Contributor's Diagnosis and Comments: Severe diffuse lymphohistiocytic interstitial pneumonia due to Aleutian disease virus.

These sections of lung contain large numbers of plasma cells located in perivascular, peribronchial, and peribronchiolar spaces as well as in alveolar septa. There is multifocal type II pneumocyte hyperplasia. Large numbers of macrophages are present in alveoli which obscure normal alveolar architecture. In some areas, there are acicular clefts in alveoli which are surrounded by macrophages. Airways are filled with a mixture of macrophages, lymphocytes, desquamated epithelial cells, and proteinic material. Gomori's methenamine silver stain did not reveal any fungal or protozoal organisms. Lesions in other tissues consisted of moderate to marked periportal lymphoplasmacytic infiltration, and the splenic red pulp was replaced by large numbers of lymphocytes and plasma cells.

The diagnosis of Aleutian Disease was based on the multisystemic lymphoplasmacytic lesions. Aleutian disease is caused by a parvovirus, causes disease in mink and ferrets, and is characterized by persistent diarrhea, rapid viral replication, immunologically mediated lesions, and hypergammaglobulinemia. Experimental infections of mink resulted in lymphoid hypertrophy of bronchus associated lymphoid tissue and so-called lipid pneumonia.
 
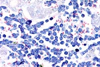
Case 9-3. Lung. Dense rims of lymphocytes and plasma cells surround vessels. The parenchyma is diffusely infiltrated by interstitial and alveolar histiocytes. 10X
 
AFIP Diagnoses:
1. Lung: Pneumonia, interstitial, proliferative, lymphohistiocytic and plasmacytic, chronic, diffuse, severe, with perivascular and peribronchiolar lymphoplasmacytic infiltrates, European ferret (Mustela putorius furo), mustelid.
2. Lung: Pneumonia, granulomatous, multifocal, moderate, with acicular clefts.

Conference Note: Aleutian Disease Virus (ADV) causes two disease syndromes in mink and ferrets. In classic Aleutian Disease (AD), adults develop a chronic persistent infection characterized by hypergammaglobulinemia, plasmacytosis, and immune-complex glomerulonephritis and arteritis. The lung lesion in the present case is characteristic of classic AD. The prominent perivascular and peribronchiolar lymphoplasmacytic infiltrates are significant features of the interstitial pneumonia seen in classic AD. ADV has also been shown to cause an acute interstitial pneumonia in mink kits, in which immune complexes apparently are not involved. In this syndrome, naive kits infected as neonates develop severe lung lesions consisting of diffuse hypertrophy and hyperplasia of type II pneumocytes, interstitial edema, and hyaline membrane formation. Intranuclear inclusions are often found in type II pneumocytes. These inclusions are round or irregular, vary in size, and can completely fill the nucleus as a basophilic or amphophilic material, or can be surrounded by a clear halo and marginated chromatin. A prominent histologic difference in the lung lesions between the two syndromes is that there is a notable absence of interstitial mononuclear cell infiltrates in the acute kit pneumonia. Also in the latter syndrome, gross and microscopic lesions are confined to the lung.

The differential diagnosis of interstitial pneumonia in mustelids should include canine distemper virus infection. In this disease, there is diffuse thickening of the pulmonary interstitium due to an infiltrate of mixed inflammatory cells, proteinaceous material, and congested alveolar capillaries. Alveolar spaces are frequently attenuated and contain increased numbers of macrophages, sloughed pneumocytes, fibrin, and edema. Usually, numerous intracytoplasmic and fewer intranuclear eosinophilic inclusions are present within bronchiolar epithelial cells, pneumocytes, and macrophages. Occasional syncytial cells are present within alveoli.

Contributor: Veterinary Diagnostic Center, Fair St. and East Campus Loop, University of Nebraska-Lincoln, Lincoln, NE 68583-0907

References:
1. Alexandersen S: Acute interstitial pneumonia in mink kits: experimental reproduction of the disease. Vet Pathol 23:579-588. 1986.
2. Fox JG: Biology and Diseases of the Ferret, Lea & Febiger, Philadelphia, PA. pp. 217-234, 1988.
3. Alexandersen S, Larsen S, Aasted B, Uttenthal Å, Bloom ME, Hansen M: Acute interstitial pneumonia in mink kits inoculated with defined isolates of Aleutian mink disease parvovirus. Vet Pathol 31:216-228, 1994.

International Veterinary Pathology Slide Bank:
Laser disc frame #13125

 

Case IV - No label (AFIP 2595754)

Signalment: 1- to 2-year-old Chinese silky chickens (Gallus domesticus)

History: The birds were submitted for evaluation of the skin lesions present on the shanks and feet.

Gross Pathology: The birds had locally extensive exfoliative dermatitis affecting the unfeathered skin of the legs and feet.

Laboratory Results: Parasitology: Skin samples were processed using KOH digestion and mites identified as Knemidocoptes mutans were seen.

Contributor's Diagnosis and Comments: Marked hyperplastic superficial perivascular dermatitis with intra-corneal arthropod parasites (Knemidocoptes mutans).

At necropsy, the most striking finding is that of the diffuse black pigmentation of skin and other tissues. On histological evaluation, numerous melanin containing melanocytes are present, which are a normal finding in the tissues of these birds. Chinese Silky chickens are desired by some members of the oriental community for medicinal purposes. They are also raised for consumption. Although the cost of production is high and the birds grow slowly, itis felt that the enterprise can still be profitable since the market is so specialized.
 
Case 9-4. Skin. Knemidocoptes mutans mites in burrows within a thickened, anuclear keratin layer. Some slender dendritic melanin-laden cells are in the deep dermis (right). 10X

AFIP Diagnosis: Skin, non-feathered: Dermatitis, lymphohistiocytic, superficial and perivascular, chronic, diffuse, moderate, with epithelial hyperplasia, severe orthokeratotic hyperkeratosis, and intracorneal arthropods, Chinese silky chicken, avian.

Conference Note: Birds are host to diverse mites. Philips1 classifies many of these by their preferred habitats, which include feathers, quills, skin, subcutaneous tissue, and the respiratory tract. Food sources available to mites include blood, tissue fluid, skin and feather lipids, keratin, fungi, algae, and other mites. Many avian mites are not pathogenic. Others are often secondary problems associated with stress or dietary deficiency.

Knemidocoptes spp., members of the Class Arachnida, Order Acarina, Suborder Sarcoptiformes, and Family Sarcoptidae, are important mange mites of birds. Knemidocoptid mites invade feather follicles and the stratum corneum, primarily affecting the face, feet, and cere. The disease that results, often referred to by the lay terms ‘scaly leg ' or ‘scaly face' is characterized by hyperkeratosis, pruritus, and feather loss. Knemidocoptes pilae parasitizes the cere and legs of psittacines. Knemidocoptes jamaicensis infects the feet of many passerines. K. mutans, and K. gallinae (also called the depluming mite), infect chickens; in addition to the signs described above, these infections can cause crippling, weight loss, and a decrease in egg production.1

Contributor: Animal Health Laboratory, Laboratory Services Division, University of Guelph, Box 3612, Guelph, Ontario, Canada N1H 6R8

References:
1. Philips JR: Avian mites. Compendium on Continuing Education for the Practicing Veterinarian 15(5):671-683, 5 May 1993.
2. Soulsby EJL: Helminths, Arthropods and Protozoa of Domesticated Animals, 7th edition, Bailliere Tindall, p. 487, 1982.

International Veterinary Pathology Slide Bank:
Laser disc frame #1685, 5086, 11145, 11146, 18675, 19347, 21105, 21106, 23193, 23605, 24109.

Terrell W. Blanchard
Major, VC, USA
Registry of Veterinary Pathology*
Department of Veterinary Pathology
Armed Forces Institute of Pathology
(202)782-2615; DSN: 662-2615
Internet: blanchard@email.afip.osd.mil

* The American Veterinary Medical Association and the American College of Veterinary Pathologists are co-sponsors of the Registry of Veterinary Pathology. The C.L. Davis Foundation also provides substantial support for the Registry.

Return to WSC Case Menu.