Results
AFIP Wednesday Slide Conference - No. 8
12 November 1997

Conference Moderator: Dr. R. Keith Harris
Diplomate, ACVP
Product Safety Assessment, Searle
4901 Searle Parkway
Skokie, IL 60077

Return to WSC Case Menu.

Case I - 97-17535 (AFIP 2596340)

Signalment: 13-month-old, castrated, male American quarter horse

History: The yearling was submitted for euthanasia after skin lesions located on the distal limbs failed to respond to treatment with topical antibacterial agents and systemic antibiotics. The skin lesions developed two weeks after the yearling had an upper respiratory infection. The specific cause of the respiratory infection was not specified.

Gross Pathology: Large areas of skin necrosis and sloughing with exposure of bone were present on all distal limbs. Exudation and hemorrhages were also noted. Areas of indurated skin were located adjacent to the areas of skin necrosis.

Laboratory Results: Staphylococcus aureus and Streptococcus zooepidemicus were isolated by routine aerobic skin cultures. Sections of skin were positive for equine IgG and negative for IgM. The fluorescence was widespread.

Contributor's Diagnosis and Comments: Subacute severe cutaneous vasculitis.

The history, clinical signs and histologic findings are consistent with equine purpura hemorrhagica. This syndrome has been associated with a variety of respiratory diseases. No lesions were detected at necropsy in the respiratory tract, mucous membranes or lymph nodes. The syndrome usually occurs in horses over two-years-old.
 
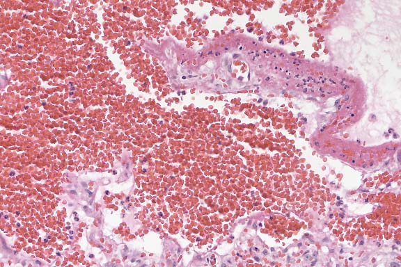
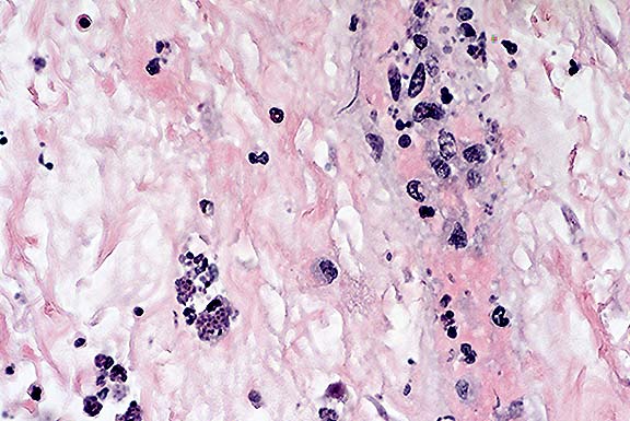
Case 8-1. Skin. Infarct contains a dermal vessel with a necrotic wall and a thrombus composed of RBC's, neutrophils, and fibrin. Numerous neutrophils infiltrate the vessel wall and extend in the surrounding connective tissue.
AFIP Diagnosis: Haired skin: Dermatitis and cellulitis, suppurative, chronic, diffuse, severe, with leukocytoclastic vasculitis and focally extensive necrosis (infarct), American quarter horse, equine.

Conference Note: Gram stains performed at the AFIP demonstrated numerous gram-positive cocci within the infarcted area; some are present within the lumina of blood vessels. Because of the presence of the bacteria and the suppurative reaction, bacterial infection, particularly septicemia, is included in the differential diagnosis.

Cutaneous vasculitis in horses is usually seen as a secondary manifestation of a variety of conditions, including infectious, toxic, neoplastic, and immunologic disorders. Cutaneous arteritis has been reported in a horse with granulomatous enteritis3. Most recognized syndromes of vasculitis in horses have characteristics similar to those of hypersensitivity-vasculitis seen in humans1, in which the most common inflammatory pattern is neutrophilic infiltration of venules in the dermis and subcutis. Usually there is leukocytoclasis, or neutrophil fragmentation with nuclear debris in and around vessels, and fibrinoid necrosis of vessel walls.

Purpura hemorrhagica is the most commonly diagnosed cutaneous vasculitic syndrome in horses, and it has also been reported in dogs and pigs. This condition is thought to be caused by a type III (immune complex) hypersensitivity reaction following Streptococcus equi or other respiratory system infections. Extensive petechiation and ecchymosis are seen in the skin and mucous membranes; in horses, there is often localized or generalized edema.

Other infectious diseases of horses in which cutaneous vasculitis is a common feature include equine viral arteritis, equine infectious anemia, and equine ehrlichiosis.

Contributor: Veterinary Diagnostic and Investigational Laboratory, University of Georgia, College of Veterinary Medicine, P.O. Box 1389, Tifton, GA 31793

References:

1. Morris DD: Cutaneous vasculitis in horses: 19 cases (1978-1985). JAVMA 191:460-464, 1987.
2. Valli VEO: The hematopoietic system. In: Pathology of Domestic Animals, Jubb KVF, Kennedy PC, and Palmer N, eds., Academic Press, 4th edition, vol 3, p. 262, 1993.
3. Woods PR, Helman RG, Schmitz DG: Granulomatous enteritis and cutaneous arteritis in a horse. Journal of the American Veterinary Medical Association 203(11):1573-1575, 1993.

International Veterinary Pathology Slide Bank:
Laser disc frame #706, 4934, 7658, 15700-06, 15724, 15769.

 

Case II - 96120352 (AFIP 2596315)

Signalment: Adult, male, mixed breed, 25 kg, canine.

History: Two of the owner's dogs were seen vomiting raw meat on 1 December. One dog recovered and the other died. This dog showed signs of depression, lethargy and vomiting on 3 December and was presented to the Oklahoma State University Veterinary Medical Teaching Hospital on 5 December with expiratory dyspnea, dehydration, and depression. BUN, phosphate and creatinine were increased. Radiographs revealed a pneumomediastinum. Arterial blood gas showed decreased PO2. The dog died on 6 December.

Gross Pathology: Lesions were confined to the cardiopulmonary system. There were numerous epicardial and endocardial hemorrhages ranging from petechiae to 1.0 cm in diameter. Within the trachea was a moderate amount of serosanguinous fluid. The lungs were diffusely red-brown, firm and heavy. Cut surfaces exuded abundant blood.

Laboratory Results: Toxicology: Paraquat was detected in liver and kidney samples, but was not quantified. The vomitus contained 567 ppm of paraquat.

Contributor's Diagnosis and Comments: Lung, pulmonary edema and hemorrhage, severe, with concurrent fibrin exudation. Cause: Acute paraquat toxicosis.

Exposure to paraquat appeared malicious, whereby several dogs were fed raw meat containing paraquat.
 
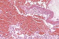
Case 8-2. Lung. Diffuse hemorrhage in the alveoli with focal fibrinoid necrosis of an alveolar septum. Other septae have a mild increase in fibroblastic cells. 20X
 
AFIP Diagnosis: Lung: Hemorrhage, diffuse, severe, with multifocal septal necrosis and interstitial fibroplasia, mixed breed, canine.

Conference Note: Paraquat is one of two widely used dipyridyl broad- spectrum herbicides (the other being diquat). Ingestion, inhalation, or dermal exposure to even small amounts of either compound may result in death within 24 hours due to necrosis of lung, liver, heart, kidneys, and adrenal glands.

Following a single large dose of paraquat by any route, pulmonary edema and hemorrhage develop within hours and may lead to death. Type I pneumocytes are the target cells in acute and chronic poisoning. Paraquat is actively concentrated in these cells, and causes an increase in both the consumption of O2 and the oxidation of NADPH via NADPH-cytochrome P450 reductase. Resultant reactive oxygen species are thought to play a key role in the acute lung injury.

Fibrosis develops as soon as 5 to 10 days after exposure to paraquat. Following the initial pulmonary epithelial injury, there is intraalveolar infiltration of profibroblasts through gaps in the epithelial basement membranes. This is followed by connective tissue synthesis on the luminal side of the epithelial basement membrane with differentiation of interstitial cells into myofibroblasts and smooth muscle cells, incorporation of areas of intraalveolar fibrosis into the interstitium, and coalescence of alveolar walls. Alveolar macrophages contribute to the marked fibrosis by releasing both fibronectin and fibroblast growth factors after paraquat exposure.
Unlike paraquat, diquat intoxication results in intracerebral hemorrhage and a high incidence of acute renal failure. Pulmonary fibrosis is not a common finding with diquat poisoning.

Contributor: Department of Anatomy, Pathology, and Pharmacology, 250 Vet. Med. Bldg., Oklahoma State University, Stillwater, OK 74078-2007

References:

1. Nagata T, Kono I, Masaoka T, Akahori F: Acute toxicological studies on paraquat: pathological findings in beagle dogs following single subcutaneous injections. Vet Hum Toxicol 34:105-111, 1992.
2. Ali S, Jain SK, Abdulla M, and Athar M: Paraquat induced DNA damage by reactive oxygen species. Biochem Mol Biol Int 1996 May;39(1):63-7.
3. Dungworth DL: The respiratory system. In: Pathology of Domestic Animals, Jubb KVF, Kennedy PC, and Palmer N, eds., Academic Press, 4th edition, vol 2, pp. 605-606, 1993.

International Veterinary Pathology Slide Bank:
Laser disc frame #3723, 6665-6, 6683, 8292-5, 15457, 15500, 15503-4, 15509.

 

Case III - 97A-22479 (AFIP 2592909)

Signalment: 15-week-old, male, Labrador Retriever.

History: This dog was presented for necropsy with a history of respiratory difficulty and persistent vomiting prior to death. Canine distemper was diagnosed in a litter-mate a week earlier.

Gross Pathology: The animal was emaciated and the gastric wall was markedly thickened with edema fluid. The mucosa was diffusely hyperemic and slightly raised irregular gray foci of mucosal necrosis were widely distributed over thickened gastric folds. Partially digested blood was present in the small intestines.

Laboratory Results: Fluorescent antibody (FA) test for canine distemper was positive on multiple tissues. FA tests for canine parvovirus was negative. Serratia odorifera, Acinetobacter sp., and Enterobacter sp. were isolated in heavy growth from the gastric mucosa. Fungal cultures were negative. Tachyzoites in tissue stained positively with an immunohistochemical stain for Toxoplasma gondii.

Contributor's Diagnosis and Comments: Acute diffuse necrotizing gastritis with intralesional tachyzoites (Toxoplasma gondii and canine distemper virus infection).

The stomach is characterized by coalescing to diffuse mucosal and submucosal necrosis with hemorrhage and marked submucosal edema. Glandular epithelial cells are pyknotic or reduced to cell debris. There is necrosis of vascular walls in the submucosa. The lamina propria and submucosa are diffusely infiltrated with neutrophils, macrophages, and fewer plasma cells. Gastric epithelial cells and smooth muscle cells contain numerous tachyzoites within the cytoplasm. Numerous extracellular tachyzoites are free within the lamina propria and submucosa, and monocytes within blood vessels contain tachyzoites. Tachyzoites associated with focal areas of necrosis were also present in liver, pancreas, adrenal gland, spleen, pancreas, lung, brain and myocardium

Disseminated toxoplasmosis is a common secondary infection in dogs that are immunosuppressed by canine distemper virus infection. However, severe gastritis with gastric signs is not usually reported. Increasingly, physicians are reporting similar gastritis due to Toxoplasma gondii in AIDS patients as a presenting complaint. Diagnosis can be made by a gastric biopsy. Both human and canine cases of gastric toxoplasmosis represent recrudescence of latent infections in immunocompromised hosts.
 
Case 8-3. Stomach. Within a vessel wall in the submucosa, there are many extracellular banana-shaped Toxoplasma gondii zoites with scattered mixed leukocytes (vasculitis). An intracellular protozoal cyst containing numerous zoites is also present (lower left). 40X
AFIP Diagnoses:
1. Stomach: Gastritis, transmural, necrotizing, acute, diffuse, severe, with necrotizing vasculitis and intracellular and extracellular protozoal zoites, Labrador Retriever, canine.
2. Lymph node: Lymphoid depletion, diffuse, severe, with multifocal necrosis and sinus histiocytosis.

Conference Note: Sections of lymph node were not present in all slides. Lymphoid depletion was attributed to the viral infection.

In dogs naturally infected with canine distemper virus (CDV) via aerosol exposure, viral replication occurs initially in macrophages of the bronchial lymph nodes and tonsils. Within 2-5 days post-exposure, the virus may be found in all lymphatic tissues, including bone marrow, thymus and spleen. Necrosis of lymphoid elements leads to prominent lymphoid depletion and an immunocompromised animal. At this point, the dog becomes viremic and febrile. The infection is primarily confined to lymphoid tissues for 6-9 days. Approximately 50% of infected dogs will develop a neutralizing antibody response within 1-2 weeks post-exposure, and will clear the virus. In other animals, the lymphatic infection persists and spreads to epithelial tissues of the alimentary, respiratory, and urogenital tracts, skin, endocrine glands, and possibly the CNS. These animals steadily deteriorate, and usually die within 15-31 days post-exposure. The disease is a summation of the effects of the virus and of secondary infections, such as toxoplasmosis. Toxoplasmosis as a clinical disease seldom occurs in dogs other than in association with CDV or other immunosuppressive conditions.

Contributor: Department of Pathology, College of Veterinary Medicine, University of Georgia, Athens, GA 30602

References:

1. Dubey JP, Green CE, Lappin MR: Toxoplasmosis and neosporosis. In: Infectious Diseases of the Dog and Cat. CE Greene, ed. WB Saunders Co., Philadelphia, 1990: pp. 818-834.
2. Alpert L, Miller M, Alpert E, et al: Gastric toxoplasmosis in acquired immunodeficiency syndrome: antemortem diagnosis with histopathologic characterization. Gastroenterology 110:258-264, 1996.
3. Dungworth DL: The respiratory system. In: Pathology of Domestic Animals, Jubb KVF, Kennedy PC, and Palmer N, eds., Academic Press, 4th edition, vol 2, pp. 617-624, 1993.

International Veterinary Pathology Slide Bank:
Laser disc frame #9099, 10444-6.

 

Case IV - 19882 (AFIP 2595302)

Signalment: 10-year-old, neutered, male, Domestic Shorthair cat.

History: This animal had been missing from its home in New York state for approximately one month. A small mass was found in the subcutaneous tissue at the rostroventral surface of the left mandible. The lower left canine tooth was missing, and there was an accumulation of necrotic tissue within the vacant dental alveolus. The patient had ptyalism and mucopurulent discharge from the eyes and nose. Initial histopathological examination revealed mild to moderate, chronic- active inflammation associated with helminth fragments. Moderate fibrosis, with surgical artifact, and accumulations of inflammatory cellular debris within the section, prevented accurate taxonomic identification of the organism. Neoplastic change was not identified in the initial tissue sections examined, most likely due to the small size of the wedge biopsy. The owners declined surgical excision of the mass. A fecal examination performed after the surgical biopsy was negative for parasites and eggs. The cat was re-examined 47 days after the initial examination and surgical biopsy. Profuse ptyalism was again noted, and the soft tissue adjacent to the right mandible was markedly swollen, to the point that the animal was unable to close its mouth. The site was painful upon palpation and the cat was extremely thin. The owners elected euthanasia and permitted a limited necropsy.

Gross Pathology: Relevant necropsy findings included swelling of soft tissues adjacent to both mandibles and mild swelling at the base of the tongue. Multifocal, disseminated, 2-3 mm white foci were distributed over the capsular surface of the liver. The remainder of the necropsy findings were unremarkable. Sections of mandible, facial skin, oral mucosa, tongue, diaphragm, and liver were fixed in 10% neutral buffered formalin and submitted for histopathological examination.

Histopathology: In the tissue sections from the oral cavity, there was invasion of the submucosa and connective tissues by a poorly encapsulated and densely cellular squamous cell carcinoma. Neoplastic cells formed small nests and cords that invaded the connective tissue, skeletal myofibers, and mandibular bone. The cells were large and polygonal with intercellular bridges and abundant well- demarcated eosinophilic cytoplasm. Nuclei were large and round with a stippled chromatin pattern and contained large, central, magenta nucleoli. There were 0-2 mitotic figures per high power field, with occasional bizarre mitotic forms. Occasional brightly eosinophilic keratin pearls were in the centers of the largest accumulations of neoplastic cells. Also within the larger foci of neoplastic cells, there were abundant cystic accumulations of necrotic debris which were occasionally admixed with small clusters of neutrophils. The mass was partly divided and surrounded by moderately desmoplastic stroma. There were numerous small blood vessels within the mass. Between the nests of cells there were numerous necrotic myofibers that were hypereosinophilic, swollen, and had lost cross-striations. At the periphery of the mass, necrotic mandibular bone was invaded by the neoplastic squamous cells. Additionally at the periphery of the mass, and occasionally surrounded by the neoplastic squamous cells, were multifocal intramysial nematode larvae identified as Trichinella sp. The larvae were 30-35 µm in diameter, coiled, and completely encapsulated within the myofibers or nurse cells. Affected myofibers were focally swollen to diameters of approximately 200 µm, which was estimated to be 2 to 8 times the diameter of the adjacent normal myofibers. The larvae were admixed with multiple myofiber nuclei and were suspended within flocculent amphophilic intracytoplasmic material in the nurse cells. The homogeneous capsules were 15-20 µm thick and were brightly eosinophilic, forming cysts around the larvae. Occasional infected myofibers were surrounded by small clusters of lymphocytes and plasma cells, with minimal numbers of eosinophils in the infiltrates. Within the neoplastic tissue, there were fewer encysted larvae than in myofibers at the tumor periphery. These larvae, in foci of necrotic debris, were occasionally degenerate, and small admixtures of neutrophils, macrophages and necrotic debris surrounded the larvae. Occasional similar intact larvae were within nurse cells within the skeletal muscle of the diaphragm. The multifocal hepatic lesions were determined to be benign cystic bile ductules.

Contributor's Diagnoses and Comments:

1. Lip, mucosa: Squamous cell carcinoma.
2. Lip, skeletal muscle: Myositis, subacute, moderate, multifocal, with intramysial nematodes within nurse cells, etiology consistent with Trichinella spiralis.

Trichinosis is a disease of humans and numerous other species of warm- blooded animals caused by Trichinella spiralis and other minor Trichinella species. The most common neoplastic condition of the feline oral cavity is squamous cell carcinoma. Trichinosis in association with neoplastic conditions has been reported only rarely in the veterinary and human medical literature.

The life cycle of Trichinella sp. is unique among nematode parasites. Larvae, present in skeletal muscle of carrier species, excyst in the stomach and develop in the small intestine of the host, undergoing four molts. Infected animals, therefore, act as reservoirs of both intermediate and definitive stages of the life cycle. Adult Trichinella species are 1 to 4 mm long, and have intracellular and extracellular habitats within the small intestine. The adults mate, and the ovoviviparous females deposit the first stage larvae in the intestinal mucosa. The larvae penetrate directly into the lymphatics, then enter the bloodstream to circulate throughout the body, subsequently leaving the circulation to enter the skeletal myofibers. For unexplained reasons, the larvae tend to invade the myofibers of the masticatory and respiratory systems. Larvae, while in the bloodstream, are vulnerable to removal by the host immune system.

The incidence of human trichinosis has steadily decreased since records were first kept in 1947, and the decreasing trend has been attributed both to increased surveillance for the parasite and improved hygiene. Larval Trichinella are identified by the histological examination of infected host tissues, and by the presence or absence of nurse cells. The first stage larvae of T. spiralis induce the large nurse cells. Nurse cells are not found in infections caused by the only other common species in the genus, T. pseudospiralis. Trichinella spiralis and T. pseudospiralis are the only two species that occur in the temperate areas of the world. As the larvae in this case report were contained within prominent nurse cells, it was felt that the morphology was most consistent with T. spiralis. One source describes 8 genetically different allotypes within the genus Trichinella, with 5 distinct species and 3 taxonomic groups of uncertain status. In that report the larvae were isolated from tissues obtained from a wide variety of animals and humans on five continents. Adult Trichinella sp. are identified morphologically, and the adults are usually obtained from fecal specimens.

Associations between parasites and neoplastic disease have been documented. The canine spirurid, Spirocerca lupi, has been associated with esophageal fibrosarcoma and osteosarcoma. Cysticercus fasciolaris, the larval stage of the cestode Taenia taeniaformis, has been associated with fibrosarcoma in rats. In humans, neoplastic disease has been linked to infestations by the trematodes Schistosoma haemotobium (squamous cell carcinoma of the urinary bladder), Clonorchis sinensis (cholangiocarcinoma), and Opisthorchis sp. (cholangiocarcinoma). Of particular relevance with respect to this case is the report of a 60-year-old man from Greece who was diagnosed with concurrent trichinosis and oral and laryngeal squamous cell carcinoma. A biopsy performed at the time of total laryngectomy revealed numerous Trichinella larvae in the muscles of the larynx and within neoplastic tissue, similar to the cat in this case report. Also in the human case report, a small number of additional cases of concurrent trichinosis and laryngeal squamous cell carcinoma in humans were listed. In the human cases, as in our feline case, the cause of the neoplastic condition remains conjectural, although in the human cases, the chronic inflammation of the site by the larval helminths was considered to be the probable cause of the squamous cell carcinoma. It could also be possible that the increased circulation to the site from neoplastic neovascularization may have been the reason for the apparently preferential muscle tropism and encystment of the T. spiralis larvae.

Finally, the presence of the inflammatory and neoplastic processes may have been entirely independent of one another, especially considering that larvae were identified in the myofibers of the diaphragm, where they were not associated with any neoplastic change. That the two processes were independent of one another was considered likely, as the preferential infestation of the masticatory muscles by T. spiralis is documented, and squamous cell carcinoma is the most common neoplastic process of the feline oral cavity.
 
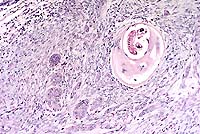
Case 8-4. Lip (skin and mucosa). Encysted Trichinella sp. in a myofiber and adjacents nests of invasive squamous cell carcinoma with a dense fibroblastic (scirrhous) reaction. 10X

AFIP Diagnoses:
1. Haired skin: Squamous cell carcinoma, Domestic Shorthair cat, feline.
2. Skeletal muscle, myocytes: Encysted nematode larvae, multiple, consistent with Trichinella sp.

Conference Note: Within the neoplasm, some participants noted the presence of pseudoglandular structures containing individualized keratinocytes within their lumina. This finding is a feature of the acantholytic squamous cell carcinoma, an uncommon variant of squamous cell carcinoma described by Gross et al 7.
This case was reviewed by Chris Gardiner, PhD, veterinary parasitology consultant to the AFIP. He believes it is virtually impossible to speciate Trichinella sp. larvae in tissue section, but agrees that the most common species is T. spiralis. Since these larvae are aphasmids, their stichosome esophagus can be seen in section. Dr. Gardiner noted that it is important to differentiate these larvae from those of hookworms. Hookworm larvae will stay within muscle cells for years, and will migrate to the mammary glands when the queen begins lactating. However, hookworms are strongyles and thus do not have stichosomes. Also in contrast to Trichinella, hookworm larvae do not cause the muscle cell to form its "capsule".

Contributor: Veterinary Diagnostic Laboratory, Kansas State University, 1800 Denison Avenue, Manhattan, Kansas 66506-5601

References:

1. Hulland TJ: Muscle and tendon. In: Pathology of Domestic Animals, ed. Jubb KVF, Kennedy PC, Palmer N, 4th ed., Academic Press, San Diego, California, vol.1, pp. 253-255, 1993.
2. La Rosa G, Pozio E, Rossi P, et al: Allozyme analysis of Trichinella isolates from various host species and geographical regions. J Parasitol 78:641-646, 1992.
3. Pozio E, La Rosa G, Murrell D, et al: Taxonomic revision of the genus Trichinella. J Parasitol 78:654-659, 1992.
4. Simaskos N, Palaiologos Y, Eliopoulos PN: Trichinosis and cancer of the larynx. J Laryngol Otol 106:171-172, 1992.
5. Stebbins KE, Morse CC, Goldschmidt MH: Feline oral neoplasia: a ten-year study. Vet Pathol 26:121-128, 1989.
6. Wright KA: Trichinella spiralis: an intracellular parasite in the intestinal phase. J Parasitol 65:441-445, 1979.
7. Gross TL, Ihrke PJ, Walder EJ: Veterinary Dermatopathology. Mosby-Year Book, St. Louis, Missouri, p. 338, 1992.

International Veterinary Pathology Slide Bank:
Laser disc frame #2326, 9971, 12973, 13131, 18610, 18611, 19515

 

Terrell W. Blanchard
Major, VC, USA
Registry of Veterinary Pathology*
Department of Veterinary Pathology
Armed Forces Institute of Pathology
(202)782-2615; DSN: 662-2615
Internet: blanchard@email.afip.osd.mil

* The American Veterinary Medical Association and the American College of Veterinary Pathologists are co-sponsors of the Registry of Veterinary Pathology. The C.L. Davis Foundation also provides substantial support for the Registry.

Return to WSC Case Menu.