Results
AFIP Wednesday Slide Conference - No. 14
17 January 1996

Conference Moderator: Dr. Richard Montali
Diplomate, ACVP
Department of Pathology
National Zoological Park Washington, D.C. 20008
 
Return to Case Menu

Case I - x5445 (AFIP 2514760)

Signalment: Raccoon (Procyon lotor).

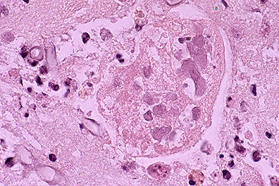
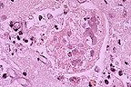
Bronchopneumonia in a raccoon (Procyon lotor) infected with canine morbillivirus. Note the prominent intracytoplasmic inclusions within bronchiolar epithelium and occasionally within macrophages in the bronchiole lumen, and the presence of metastrongyle larva. (HE, 400X, 122K)

History: This wild raccoon was found standing on a walking trail in Rock Creek Park by a park visitor around 11:00 A.M.; the animal did not attempt to flee. The park visitor left the trail to report the raccoon to the National Park Service (NPS). A park ranger arrived at the location within the hour and the raccoon was still standing in the same place. When the ranger attempted to catch the raccoon, it tried to ascend a nearby tree, but fell and landed flat on its back. It was then caught without incident. The raccoon was brought to National Zoologic Park (NZP) in accordance with an arrangement between NPS and NZP to investigate suspected distemper-infected wildlife. The animal was euthanized at NZP, a necropsy was performed and the brain was taken for submission for rabies testing.

Gross Pathology: The body of this young adult, feral raccoon is in good nutritional condition with abundant body fat. The eyes are bilaterally matted with yellow, purulent discharge. The respiratory tract contains a moderate amount of white, foamy exudate. The cranial-ventral portion of the right lung lobe is firm, deep red and consolidated. The stomach contains green, mucous-rich ingesta and numerous tapeworms in the pylorus which extend into the duodenum. The remaining small intestine has multifocal areas of hyperemic mucosa within the jejunum and ileum. More tapeworms are present within the colon. The luminal contents are creamy green to brown. The liver and spleen are firm and congested. The right footpad is thickened and hard. The urinary, musculoskeletal, cardiovascular, reproductive, endocrine, and CNS systems are unremarkable.

Laboratory Results:

The brain is negative for rabies virus by immunofluorescent antibody testing.

Contributor's Diagnoses and Comments: 1. Interstitial pneumonia, giant cell, with intracytoplasmic inclusion bodies, canine distemper virus. 2. Acute bronchitis with eosinophils, parasitic, Crenosoma sp.

Lung: Numerous neutrophils fill alveoli and bronchi. There is abundant necrosis and numerous intraepithelial eosinophilic cytoplasmic inclusions. There are multiple larval and adult nematode cross sections within a bronchus, along with associated neutrophils, eosinophils, macrophages and occasional multinucleated cells.

This is a chronic case of canine distemper. The heavy parasite load contributed to the clinical disease. Heart blood culture grew a beta-hemolytic Staphylococcus. Cytology of conjunctival smears was non-contributory.

AFIP Diagnoses:

1. Lung: Pneumonia, bronchointerstitial, subacute, diffuse, moderate, with type II pneumocyte hyperplasia, syncytial cells, and eosinophilic intranuclear and intracytoplasmic inclusion bodies, raccoon (Procyon lotor), procyonid, etiology consistent with canine distemper virus.

2. Lung: Bronchitis and bronchiolitis, suppurative and eosinophilic, multifocal, moderate, with intraluminal adult and larval metastrongyle nematodes.

Conference Note: Canine distemper virus (CDV) is a morbillivirus in the Paramyxoviridae family. It causes pneumonia, enteritis and encephalitis in canines, procyonids, felids, mustelids, hyaenidae, and viverridae. Clinical signs vary somewhat in the various wildlife species but are generally similar to those seen in dogs. Attempts to vaccinate susceptible species with modified-live vaccines have resulted in vaccine-induced distemper in red pandas, African wild dogs, black-footed ferrets, maned wolves, grey foxes, bush dogs, kinkajous, and fennec foxes. Killed vaccines are currently being developed to protect these exotic and often endangered species.

The pathogenesis in exotic species is presumed to be similar to that in dogs. In dogs, infection with CDV occurs primarily by inhalation with the virus localizing in tonsils and bronchial lymph nodes. After 2-5 days, there is a cell-associated viremia resulting in infection of lymph nodes, spleen, thymus, bone marrow, and macrophages in the lamina propria of the stomach and intestine. At this stage, severe depletion of lymphocytes may develop with concomitant immunosuppression. At 8-10 days post-infection, the virus again disseminates, with continued infection of mononuclear cells and epithelial cells, causing hyperkeratotic dermatitis, diarrhea, pneumonia, and keratitis. The brain is sometimes affected, usually after the visceral infection has ended. The virus first infects macrophages in the meninges and later spreads to ependymal cells, glial cells, and neurons. Neuronal involvement leads to behavioral changes and varying degrees of muscular spasm or paresis.

Moribilliviruses possess two proteins which facilitate binding to host membranes, hemagglutinin and F protein. The F factor mediates fusion of the viral envelope with the cellular membrane and assists in viral attachment. It also causes host cell fusion and is responsible for the formation of syncytial cells. The ability to fuse host cells allows the virus to spread without being exposed to antibody. To be biologically active the F protein must be cleaved by a host protease into two disulfide-linked polypeptides, F1 and F2. If a host cell lacks the necessary proteases, the virus formed is not infectious, since the F factor is required for viral attachment.

The intrabronchial metastrongyle was identified by Dr. C.H. Gardiner, parasitology consultant for the Department of Veterinary Pathology, as belonging to the genus Crenosoma. Crenosoma vulpis is a common lungworm of foxes and occurs in other canids and raccoons. The adults of Crenosoma spp. reside in the bronchi where they deposit first stage larvae or thin-shelled eggs containing first stage larvae. The larvae ascend the trachea and are swallowed. The larvae or eggs pass through the intestinal tract and exit in the host's feces. They develop into infective third stage larvae in snails and slugs. The definitive host becomes infected by ingesting infected gastropods.

Contributor: National Zoological Park, Washington, D.C. 20008

References:

1. Appel, MJG. 1987. Canine Distemper Virus. In, Virus Infections of Vertebrates, Vol. 1, Virus Infections of Carnivores, Ed. M. J. Appel, Elseveir Science Publications B.V. pp. 133-159.

2. Appel, MJG, and RJ Montali. 1994. Canine Distemper and Related Emergent Morbillivirus Disease in Exotic Species. In, Proceedings of the American Association of Zoo Veterinarians, Pittsburgh. PA. pp. 336-339.

3. Montali, RJ, CR Bartz, and M Bush. 1987. Canine Distemper Virus. In, Virus Infections of Vertebrates. Vol. 1 Virus Infections.

4. Georgi, JR, Georgi ME: Parasitology for Veterinarians. 5th edition, W.B. Saunders Co., Philadelphia, pp. 180-181, 1990.

5. Fenner, FJ, et al: Veterinary Virology. 2nd edition, Academic Press Inc., San Diego, CA, pg. 471-488, 1993.

International Veterinary Pathology Slide Bank: Laser disc frame # 13013, 13012, 13011, 6898, 6897, and 4810.

Case II - 95-20060 (AFIP 2503514)

Signalment: Six-month-old male green iguana.

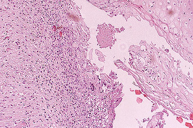
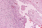
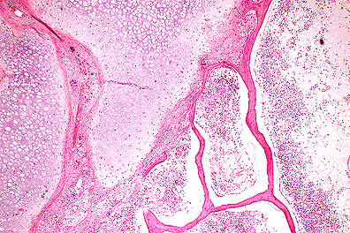
Chondromatosis and osteoporosis in a green iguana (Iguana iguana)due to nutritional osteodystrophy. (HE, 400X, 113K)

History: The iguana was reported to be lethargic and dehydrated prior to death. The diet consisted solely of fruits and vegetables. The house had recently been fumigated for insects and the owner was concerned about the possibility that the iguana was poisoned by eating a poisoned insect.

Gross Pathology: An immature male green iguana in fair body condition weighing approximately 70 gm was presented for necropsy. Both femurs were markedly enlarged in diameter and there was a pathologic fracture of the distal right femur. Both femurs cut easily with a scalpel blade. The mandible was rubbery and bent easily without breaking. Approximately 3.0 mls of serous fluid was present in the abdominal cavity. The thyroid glands were mildly enlarged but the parathyroid glands were not observed grossly. No other significant gross changes were observed in the carcass.

Laboratory Results: Morganella morgani and a Flavobacterium spp. were isolated from femoral bone. Flavobacterium spp., Alicaigenes xylosoxidans and Citrobacter freundii were isolated from an abdominal swab. Flavobacterium spp. was also isolated from liver. None of these organism were considered to be significant in this case. Viral culture was not performed. Blood was not available for hematology and blood chemistry analysis.

Contributor's Diagnosis and Comments: Femur, chondromatosis, diffuse, severe, bilateral with severe osteoporosis, compatible with nutritional osteodystrophy.

Sections of undecalcified diaphyseal femur are submitted for conference participants. The diaphysis of each femurs is markedly thickened. There is a diffuse lack of cortical bone with a proliferating cuff of hyperplastic cartilage that has largely replaced and compressed the diaphyseal cortical bone. Numerous scattered osteoclasts and a row of osteoblasts line most of the remaining spicules of cortical bone. Periosteal reaction is minimal. Bone marrow elements are present in low, but adequate numbers. Sections of mandible (not submitted) have a diffuse lack of cortical bone with marked diffuse osteoclastic activity and replacement of bone with a loose areolar fibrous connective tissue compatible with fibrous osteodystropy (osteodystrophia fibrosa) . In addition, sections of thyroid gland exhibited mild to moderate diffuse hypertrophy and hyperplasia of follicles containing abundant colloid. Parathyroid tissue was not observed on gross or histologic examination.

The proliferating cuff of diaphyseal hyperplastic cartilage is unique to the iguana with nutritional osteodystrophy (secondary nutritional hyperparathyroidism). Fibrous osteodystrophy commonly occurs in the horse and its relatives (zebra, etc.), goats, pigs, cattle, sheep (rarely), and a variety of other species, including non-human primates. Fibrous osteodystrophy is characterized by extensive osteoclastic resorption of bone and formation of fibro-osseus tissue which fills the marrow space in response to excessive secretion of parathyroid hormone. These changes are particularly prominent in the bones of the face and mandible in some species resulting in the syndromes of "bighead" (horse) and/or "rubber jaw" (dog). There is a high susceptibility to pathologic fractures and avulsion of ligaments resulting from slight trauma.

The most common causes of fibrous osteodystrophy are deficiency of calcium, calcium/phosphorous imbalance (high dietary phosphorous), vitamin D deficiency and occasionally renal failure. These conditions result in excessive secretion of parathyroid hormone. Parathyroid hormone (PTH) increases resorption of calcium via an osteoblast mediated stimulation of osteoclasts and decreases resorption of phosphate from the glomerular filtrate. Osteoclasts do not have receptors for PTH and only respond to PTH in the presence of osteoblasts which appear to release unknown paracrine factors that locally stimulate osteoclastic bone resorption.

AFIP Diagnosis: Femur, cortex: Osteodystrophy, chondroproliferative, diffuse, severe, with osteopenia, green iguana (Iguana iguana), reptile.

Conference Note: Captive iguanas are often fed a diet of fruits and vegetables which contain low levels of calcium. The calcium deficient diet results in low serum levels of calcium and relatively high levels of serum phosphorous, inducing the secretion of PTH from chief cells in the parathyroid. Parathyroid hormone elevates serum calcium by increasing the active osteoclast pool, resulting in osteoclasis and skeletal remodeling, and by increasing absorption of calcium in the distal tubules of the kidney. There is also a concomitant decrease in serum phosphate due to PTH-mediated decreases in absorption of phosphates in the proximal tubules of the kidney. Continued osteoclastic activity in the face of calcium deficiency results in the lesions associated with osteodystrophy.

It is believed that the cartilaginous proliferation is an adaptation to mechanical stresses placed upon the weakened bone. It is not understood why iguanas develop proliferations of cartilaginous rather than fibrous tissue, as is seen in other species with nutritional osteodystrophy.

Green iguanas have also been shown to develop fibrous osteodystrophy if they are not allowed access to ultraviolet light in the range of 285-315 nm (UV-B). Ultraviolet light is required by iguanas to convert provitamin D3 to the active form of vitamin D3. It has been speculated that the hypovitaminosis D causes an exaggerated parathyroid hormone response resulting in decalcification of bone and fibrous osteodystrophy. An unusual and characteristic feature of this condition is widespread metastatic calcification of soft tissues in the face of hypovitaminosis D.

Contributor: Veterinary Diagnostic and Investigational Laboratory, College of Veterinary Medicine, University of Georgia, P.O. Box 1389, Tifton, Georgia 31793.

References:

1. Anderson, M.P. and Capen, C.C. 1976. Nutritional osteodystrophy in captive green iguanas (Iguana iguana). Virchows Arch. B Cell Pathol. 21:229-247.

2. Anderson, M.P. and Capen, C. C. 1976. Fine structural changes of bone cells in experimental nutritional osteodystrophy of green iguanas. Virchows Arch. B Cell Pathol. 20:169-174.

3. Jacobson, E. R. 1981. Diseases of reptiles. Part I. Noninfectious diseases. Compend. Contin. Educ. Pract. Vet. 3:122-126.

4. Jacobson, E. R. 1984. Biology and diseases of reptiles In: Laboratory Animal Medicine. Eds. J.G. Fox. , F. J. Cohen and F. M. Loew. Academic Press, Inc., New York. chap. 15, pp. 470-471.

5. Palmer, N. 1993. Bones and Joints In: Pathology of Domestic Animals. Eds. K. V. F. Jubb, P. C. Kennedy and N. Palmer. Academic Press, Inc., new York. Chap. 1, pp. 72-77.

6. Richman L, Montali R, Allan M, and Oftedal O: Widespread metastatic soft tissue mineralization in vitamin D deficient Green Iguanas. Abstract, American College of Veterinary Pathologists 46th Annual meeting, 1995.

International Veterinary Pathology Slide Bank: Laser disc frame #2589, 2590, 6097, 6305, 6309-11, 8223, 9152, 9399, 9981-9988, 15293, 15294, and 15299.

Case III - 424/95 (AFIP 2506142)

Signalment: Thirty-year-old female Asian elephant (Elaphas maximus).

Multifocal to coalescing lingual ulcers in an Asian elephant. (24K)

Severe ulcerative pododermatitis and loss of toenaila in an Asian elephant (70K)

Pox-like ulcerative lesion on the oral mucosa of an Asian elephant (51K)

Lingual ulcer in an Asian elephant (Elaphas maximus) with ballooning degeneration of the adjacent epithelial cells. Round eosinophilic viral inclusions can be seen in several epithelial cells. (200X, HE, 96K)

History: This elephant was part of a small circus in Germany. The animal had a three month history of periodic papular and ulcerative skin disease. Additional clinical findings included elevated body temperature and reduced general condition. Poxvirus infection had been diagnosed, and the animal had been treated symptomatically without success. After sloughing of the ungula on all four feet and loss of the solar skin, the elephant was euthanized.

Gross Pathology: At necropsy there were numerous confluent ulcerative skin erosions (photo) over the entire body. Papular lesions up to 2.5 cm in diameter were also present but less frequently. The nails and solar epidermis were completely absent on all four legs. Similar lesions were detected on the mucosa of the trunk, the tongue (photo), the larynx and the esophagus. In the proximal great colon there was an ulcer, 30 cm in diameter, with focal chronic fibroblastic peritonitis. In the remaining colon numerous ulcers up to 1 cm in diameter were found. The mesenteric lymph nodes were necrotic.

Laboratory Results: Cowpox virus was isolated from the skin.

Contributor's Diagnosis and Comments: Glossitis, necrotizing and ulcerative, diffuse, severe with bacterial colonies on the necrotic surface, ballooning degeneration in the neighboring epithelium and occasionally intracytoplasmic, amphophilic to eosinophilic inclusions. Etiology: cowpox virus.

Poxvirus infections in zoo-kept animals are restricted to Central Europe. Twenty-four of twenty-six reported outbreaks between 1960 and 1990 were localized in a 1070 km diameter circle with a center near Magdeburg, Germany. Only a single outbreak in Moscow occurred outside this circle. The infection has been observed in rhinoceroses, okapis and other mammals, including felines. In elephants (Asian and African) 78 cases of poxvirus infection have been registered. In 9 cases the disease was fatal. The isolated virus strains were identified as cowpox virus.

The occurrence of these outbreaks and the restriction to a limited region within Europe (the infection does not occur in the natural habitats of these species) support the suspicion that zoo-kept animals are only an indicator of a hidden virus cycle that involves a local feral mammal. The high prevalence of antibody titers against cowpox virus in wild rodents indicate a possible role of these species in the transmission of the infection.

The present case is a very dramatic one. The long treatment was justified by the cooperative behavior of the animal as well as by social and economical arguments. The severity and extensiveness of the lesions are probably due to the long survival and relapsing viremias.

AFIP Diagnosis: Tongue: Glossitis, ulcerative, subacute, focally extensive, severe, with ballooning degeneration and eosinophilic intracytoplasmic inclusion bodies, Asian elephant (Elaphas maximus), proboscid.

Conference Note: After a pox virus was identified as the causative agent in the European zoo animal outbreaks, children who had recently been vaccinated against smallpox and were allowed to ride the zoo elephants were suspected to have transferred the live virus to the elephants. Attempts to reproduce the disease with vaccinia virus strains have been unsuccessful. Polypeptide analysis has demonstrated that the elephant strains of virus and ectromelia virus produce the same polypeptide pattern, each lacking a 53,000 kd molecular weight polypeptide that is present in vaccinia. The elephant virus strains also lack a polypeptide of 37,000 kd that is present in cowpox. In addition, DNA cleavage patterns of the virus strains isolated from zoo-kept mammals in Europe show a high degree of similarity and can be distinguished from cowpox and vaccinia virus, although some genetic patterns are shared. Since the elephant virus resembles cowpox, this virus is now known as a cowpox-like virus.

The elephant cowpox-like virus has also been isolated from a human in the Netherlands who has had no contact with zoo animals, but was in close contact with many cats, a rabbit, a guinea pig, and a dog. The virus was also isolated from a cat in the Netherlands. These findings suggest that the reservoir may be a small mammal hunted by cats.

Other orthopoxviruses of importance in man and animals are vaccinia virus, ectromelia virus, monkeypox virus, camelpox virus, Uasin Gishu disease virus, Tatera poxvirus, raccoon poxvirus, vole poxvirus, and seal poxvirus.

Contributor: Institut f

r Veterin„r-Pathologie, Frankfurter Strasse 96, D-35392, Geissen.

References:

1. Pilaski J and R”sen-Wolff A: Poxvirus infection in zoo-kept mammals, in Virus diseases in laboratory and captive animals, Darai G (ed), Martinus Nijhoff Publishers, Boston, 83 - 100, (1988).

2. Pilaski J and Jacoby F: Die Kuhpocken-Erkrankungen der Zootier, Verh.Ber.Erkrg.Zootier, 35: 39 - 50, (1993).

3. Pade K, R

edi D, Pilaski J, Heldstab A and M

ller M: Ein verlustreicher Pockenausbruch bei asiatischen Elefanten (elaphas maximus) in einem deutschen Wanderzirkus, Verh.ber.Erkrg.Zootier, 32: 147 - 155, (1990).

Case IV - 950581-8 (AFIP 2507590)

Signalment: Australian parrot (Barnardius sp.)

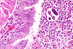
Syncytial cell with numerous intranuclear inclusions in the lung of an Australian parrot with tracheobronchitis. Negatively stained outlines of fungal hyphae can be seen in the adjacent tissues. (HE, 400X, 76K).

Fruiting body and fungal hyphae of Aspergillus from the lung of an Australian parrot with necrotizing tracheobronchitis. (GMS, 400X, 43K)

History: This Australian parrot was presented for necropsy examination with a history of respiratory difficulties and sneezing.

Gross Pathology: Gross lesions were confined to the respiratory system, and consisted of a fibrinous tracheitis throughout the trachea and a necrotic tracheobronchitis at the bronchial bifurcation characterized by a blackish discoloration and presence of hairy mycelial elements in the bronchial lumen.

Laboratory Results: None submitted.

Contributor's Comments:

Contributors diagnosis: Necrotic bronchitis with syncytial cells and intranuclear acidophilic herpesvirus inclusions and a more severe necrotic bronchitis due to Aspergillus sp. infection.

Microscopic lesions are confined to the respiratory system. There are two lesions of different origin:

1. A severe necrotic bronchitis with tangles of hyphae and conidiospores in the bronchial lumen. These fungal elements invade the surrounding parenchyma and the blood vessels.

2. A necrotic viral bronchitis characterized by the presence of syncytial cells and acidophilic intranuclear inclusions in the bronchial epithelium similar to that of avian laryngotracheitis. A similar case of severe respiratory herpes virus infection in parrots was reported.

AFIP Diagnoses:

1. Lung: Bronchopneumonia, necrotizing and granulomatous, focally extensive, moderate, with necrotizing vasculitis and numerous fungal hyphae, Australian parrot (Barnardius sp.), avian.

2. Lung: Syncytial cells, numerous, with eosinophilic intranuclear inclusion bodies.

Conference Note: A herpesvirus serologically related to infectious laryngotracheitis has been identified in Amazon and Bourke's parrots. Clinically affected parrots develop fibronecrotic ocular, nasal, and/or oral discharges accompanied by open mouth breathing and coughing. Histologically there is necrosis of respiratory epithelium and a resultant fibrinonecrotic bronchopneumonia. Birds frequently develop secondary fungal and bacterial infections and often die from asphyxiation caused by obstruction of the trachea by necrotic debris.

We have also seen uncomplicated cases of herpesviral infection in parrots that were characterized by pulmonary synctial cells formation and epithelial intranuclear inclusion bodies in the absence of an inflammatory response.

Aspergillus spp. are ubiquitous saprophytic molds. Hyphae of Aspergillus spp. are 3 to 6 æm in width, are septate, have parallel walls, and demonstrate dichotomous branching. The conidial heads are distinctive and are composed of a terminal vesicle with one or two layers of phialides which produce chains of conidia, (also called conidiospores), from their tips. The vesicle merges at its base with a conidiophore (the section of hyphae that supports the conidial head).

Pulmonary infections with Aspergillus center on bronchi and bronchioles. Histologically the bronchioles are effaced by a granulomatous inflammatory infiltrate and necrotic debris. Masses of tangled fungal hyphae are usually apparent within the bronchiolar lumen and surrounding parenchyma. After colonization in the lung, Aspergillus can invade pulmonary arteries or arterioles, resulting in occlusion of the vessel and formation of a lobular infarct. In most cases, there are multiple lobular pulmonary infarcts which frequently coalesce. Large areas of infarction and proliferating fungal hyphae often cavitate. Hematogenous spread of the fungi often follows vascular invasion, commonly producing lesions in the central nervous system, myocardium, liver, and spleen.

Contributor: Laboratoire d'Anatomie Pathologique 7, Avenue du G‚nŠral de Gaulle 94704 MAISONS ALFORT - FRANCE.

References:

1. Wintroll, G and Gylstorff, L; Schwere durch Herpesvirus verursachte Erkrankung des respirationsapparates bei Amazonen. 1979; Berline-und-Muchener-Tierarztliche-Wochenschrift. 92, 14, 277-280.

2. Chandler FW and Watts JC: Pathologic diagnosis of fungal infections. ASCP Press, Chicago, pp. 55-74, 1987.

3. Gerlock H: Viruses in Avian Medicine: Principles and Applications. Richie BW, Harrison GJ, and Harrison LR eds., Wingers Publ., Florida, pp. 874-885, 1994.

International Veterinary Pathology Slide Bank: Laser disc frame #1174-75, 2875, 3484, 3486, 3494, 9291, 11074, 11143, 11297, 11298-99, 13863, 19384, 19473-74, 19495-97, 19517-18, 20546, 20547-50, 24059-62, and 24667-69.

Dana P. Scott
Captain, VC, USA
Registry of Veterinary Pathology*
Department of Veterinary Pathology
Armed Forces Institute of Pathology
(202)782-2615; DSN: 662-2615
Internet: Scott@email.afip.osd.mil

* The American Veterinary Medical Association and the American College of Veterinary Pathologists are co-sponsors of the Registry of Veterinary Pathology. The C.L. Davis Foundation also provides substantial support for the Registry.